
-
生物通官微
陪你抓住生命科技
跳动的脉搏
3 Tesla堆叠星形回波非平衡T1弛豫增强稳态MRI技术在脑肿瘤成像中的应用:与MPRAGE的对比增强效果评估
【字体: 大 中 小 】 时间:2025年08月17日 来源:Cancer Imaging 3.5
编辑推荐:
本研究针对传统MPRAGE序列在脑小转移瘤检测中的局限性,开发了新型SOS echo-uT1RESS序列。通过34例脑肿瘤患者的双中心前瞻性研究,证实该技术使肿瘤-脑组织对比度提升1.8倍(0.7±0.4 vs 0.4±0.3),显著提高<2mm微小转移灶检出率(12%病例发现MPRAGE未显示的病灶),同时保持与MPRAGE相当的图像质量(3.8±0.5分)。其径向k空间采集设计克服了传统T1RESS的运动敏感性缺陷,为脑肿瘤早期诊断提供了更优的影像学工具。
在神经肿瘤学领域,早期发现脑转移灶直接关系到患者的治疗方案选择和预后。虽然磁化准备快速梯度回波(MPRAGE)序列是目前临床金标准,但其对微小转移灶(<5mm)和低浓度钆(Gd)增强病变的检出率不足40%,成为制约精准诊疗的关键瓶颈。更棘手的是,传统T1弛豫增强稳态(T1RESS)技术虽能提高肿瘤对比度,却因采用笛卡尔采样而对患者运动极度敏感——这在老年、儿科或神经功能障碍患者群体中尤为突出。
为突破这一技术困境,Semmelweis University(匈牙利)与NorthShore University HealthSystem(美国)的研究团队创新性地将径向堆叠星形(stack-of-stars, SOS)k空间轨迹与非平衡梯度回波(echo-unbalanced)T1RESS技术相结合。这项发表于《Cancer Imaging》的研究显示,这种新型SOS echo-uT1RESS序列不仅保持了T1RESS固有的高组织对比特性,还通过径向采集的天然运动容错能力,实现了临床实用的脑肿瘤成像方案。
研究采用双中心前瞻性设计,在3T MRI系统上对比34例脑肿瘤患者(含14例转移瘤)的MPRAGE与SOS echo-uT1RESS图像。关键技术包括:1)采用PSIF(反向稳态自由进动)读出实现暗血效应;2)黄金角度旋转的512径向视图采集;3)1mm3各向同性分辨率;4)同步获取定量对比噪声比(CNR)和韦伯对比度(Weber contrast)参数。
定量分析结果显示,SOS echo-uT1RESS使肿瘤-脑组织韦伯对比度达到0.7±0.4,较MPRAGE提升1.8倍(p<0.001),而两者CNR无显著差异(29.4±21.4 vs 28.2±16.5)。

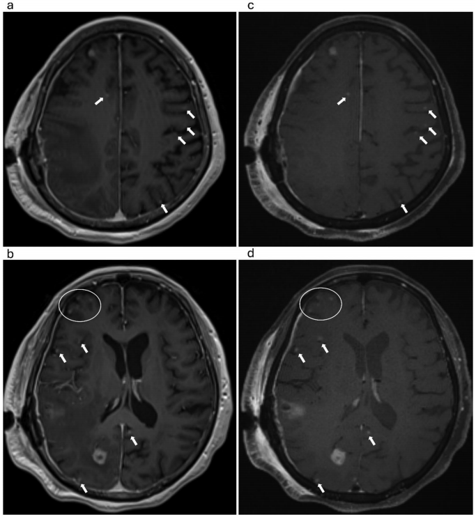
病灶检测能力方面,12%病例在SOS echo-uT1RESS上发现MPRAGE未显示的转移灶(直径2-3mm),如图3所示。

运动鲁棒性验证通过图2案例得以体现:

这项研究的重要意义在于:1)首次证实径向采集可有效解决T1RESS技术的运动敏感缺陷;2)建立1.8倍肿瘤对比度提升的量化标准;3)为立体定向放疗等精准治疗提供更可靠的影像依据。不过需注意,该技术目前扫描时间较长(6分51秒),且对灰白质分辨不足,需与MPRAGE互补使用。未来通过压缩感知或GRAPPA加速,有望进一步推动其临床转化。
生物通微信公众号
知名企业招聘