
-
生物通官微
陪你抓住生命科技
跳动的脉搏
西藏地区土耳其斯坦东毕吸虫硫氧还蛋白谷胱甘肽还原酶(OtTGR)的酶学功能表征及其抗寄生虫治疗潜力
【字体: 大 中 小 】 时间:2025年08月19日 来源:BMC Veterinary Research 2.6
编辑推荐:
本研究针对人畜共患寄生虫病——土耳其斯坦东毕吸虫病的防治难题,聚焦其抗氧化防御系统关键酶硫氧还蛋白谷胱甘肽还原酶(TGR),通过克隆表达OtTGRsec重组蛋白,证实其兼具TrxR、GR和Grx三重酶活性,并首次揭示该蛋白在虫体体表及实质组织的广泛分布。RNA干扰实验显示siRNA3可显著抑制46.1%的OtTGR表达,为开发新型疫苗或靶向药物提供了重要理论依据。
在广袤的牧区,一种名为土耳其斯坦东毕吸虫(Orientobilharzia turkestanicum)的寄生虫正悄然威胁着牲畜和人类的健康。这种寄生虫不仅导致牛羊等家畜的肝脏损伤和经济损失,其尾蚴还能穿透人体皮肤引发"游泳者瘙痒症"。尽管吡喹酮(PZQ)是目前的主要治疗药物,但耐药性和重复感染问题日益突出。更令人担忧的是,这种被忽视的热带病在亚洲和欧洲超过20个省份流行,却尚未有有效疫苗问世。
面对这一挑战,西藏自治区科学技术计划基础与人才项目的支持者——来自国内研究机构的Wenqiang Tang团队将目光投向了寄生虫的"生命线":硫氧还蛋白谷胱甘肽还原酶(TGR)。这种在血吸虫等寄生虫中已被证实的关键酶,能够通过独特的硒代半胱氨酸(Sec)活性中心,同时执行硫氧还蛋白还原酶(TrxR)、谷胱甘肽还原酶(GR)和谷氧还蛋白(Grx)三种功能,成为维持寄生虫在宿主氧化环境中存活的"多功能瑞士军刀"。研究人员假设,若能阻断这一通路,或许能为控制东毕吸虫病开辟新途径。
研究团队运用了四项关键技术:从西藏采集的耳萝卜螺中建立寄生虫生命周期模型;双质粒系统表达含Sec的重组蛋白OtTGRsec;多克隆抗体Western blotting验证;以及针对OtTGR基因设计的siRNA干扰体系。这些方法使研究得以在《BMC Veterinary Research》上揭示重要发现。
分子克隆与生物信息学分析
成功克隆的1893 bp OtTGR基因编码631个氨基酸,预测分子量70 kDa。序列比对显示其与曼氏血吸虫SmTGR有92%相似性,保守结构域分析发现Grx活性位点"CPYC"、氧化还原中心"CVNVGC"和C端Sec活性位点"GCUG"。
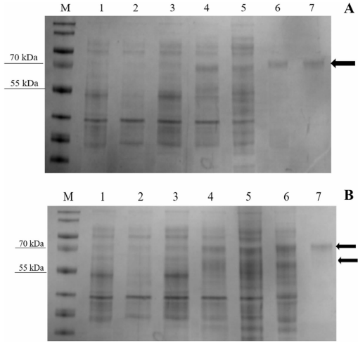
重组蛋白表达与免疫定位

双质粒系统表达的rOtTGRsec在70 kDa处出现主带,Western blotting显示抗血清可识别虫体天然蛋白。免疫荧光证实OtTGR在虫体体表和实质组织广泛分布,这一发现为疫苗设计提供了靶向依据。
酶活性分析
rOtTGRsec展现出TrxR(12.30±1.63 U/mL)、GR(8.83±3.15 U/mL)和Grx(0.31±0.07 U/mL)三重活性,最适pH 8.0-9.0,温度30-35°C。尽管活性略低于血吸虫TGR,但证实了其维持寄生虫氧化还原平衡的核心作用。
RNA干扰实验

设计的6条siRNA中,siRNA3使OtTGR mRNA水平降低46.1%,显著高于其他序列(22.9-40.3%),这为后续基因治疗提供了特异性靶点。
这项研究首次系统解析了土耳其斯坦东毕吸虫TGR的分子特征和功能机制。讨论部分指出,虽然因宿主限制未能进行免疫保护实验,但参照近缘物种数据——日本血吸虫SjTGR疫苗可减少36.5%虫荷,肝片形吸虫FhTGR疫苗保护率达96.7%,OtTGR极有可能成为理想的疫苗候选靶标。更重要的是,该酶在哺乳动物中仅特异性表达于睾丸组织,这种物种差异性大大降低了潜在副作用风险。
研究团队在结论中强调,针对寄生虫特有抗氧化通路的多功能酶开发抑制剂,可能是突破现有化疗局限的新策略。未来需要进一步评估rOtTGR的免疫原性,并探索其与常规药物的协同效应。这项成果不仅为控制东毕吸虫病提供了科学依据,也为其他蠕虫病的疫苗研发树立了范式。
生物通微信公众号
知名企业招聘