
-
生物通官微
陪你抓住生命科技
跳动的脉搏
股骨颈锁定钢板与多枚空心螺钉治疗青壮年股骨颈骨折的随机对照研究:功能恢复与影像学结果的比较
【字体: 大 中 小 】 时间:2025年08月19日 来源:BMC Musculoskeletal Disorders 2.4
编辑推荐:
本研究针对青壮年股骨颈骨折(FNFs)内固定方式选择这一临床难题,通过随机对照试验比较了股骨颈锁定钢板(FNLP)与传统多枚空心加压螺钉(MCCS)的疗效。埃及索哈格大学医院骨科团队对74例患者进行为期2年的随访,发现FNLP组在Harris髋关节评分(HHS)、负重时间及骨折愈合速度方面显著优于MCCS组,而并发症发生率相当。该研究为临床选择内固定方案提供了高质量循证依据,特别强调了FNLP在促进早期功能恢复方面的优势。
股骨颈骨折(Femoral Neck Fractures, FNFs)是骨科临床常见的棘手问题,在青壮年人群中多由高能量创伤导致。这类骨折的特殊性在于:解剖位置血供脆弱,容易发生骨不连和股骨头坏死(Avascular Necrosis, AVN);生物力学环境复杂,需要坚固固定以应对剪切力。尽管现有多种内固定方式,包括动态髋螺钉(DHS)、空心螺钉(MCCS)和新型股骨颈系统(FNS)等,但学术界对最佳固定方案始终存在争议——就像寻找骨科领域的"圣杯"。
针对这一临床困境,埃及索哈格大学医院(Sohag University Hospital)骨科创伤中心的Yasser Ahmed Othman团队开展了一项设计严谨的随机对照试验。研究比较了两种主流固定方式:生物力学优化的股骨颈锁定钢板(Femoral Neck Locking Plate, FNLP)与传统多枚空心加压螺钉(Multiple Cannulated Cancellous Screws, MCCS),结果发表在《BMC Musculoskeletal Disorders》期刊。这项研究特别关注青壮年(18-55岁)患者群体,因为该人群对髋关节功能要求高,且保留自身关节的愿望强烈。
研究人员采用的关键方法包括:1)计算机生成的随机序列将74例患者均分两组;2)标准化手术技术,FNLP组通过外侧入路植入锁定钢板,MCCS组采用三枚6.5mm半螺纹空心螺钉固定;3)主要结局指标采用国际通用的Harris髋关节评分(HHS),次要指标包括负重时间、影像学愈合时间和并发症发生率;4)所有病例随访至少12个月,通过X线片评估愈合情况。研究严格遵循CONSORT指南,确保方法学质量。
研究结果呈现多个重要发现:
功能恢复方面:FNLP组展现出显著优势,最终随访时HHS中位数达92分(优秀率51.4%),明显高于MCCS组的86分(优秀率0%)。髋关节屈曲活动度也以115.23°对109.73°领先。更令人瞩目的是,FNLP组患者实现部分负重(6.07周)和完全负重(16.02周)的时间均显著短于MCCS组(分别为7周和22.23周)。

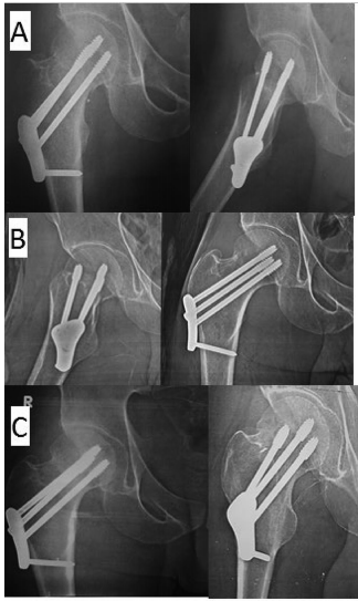
影像学结果:FNLP组的骨折愈合速度明显更快(15.2周 vs 20.6周),证实了其生物力学稳定性优势。图3展示的系列X线片清晰呈现了FNLP固定后的愈合进程。

手术参数与并发症:虽然MCCS组手术时间更短(49.3分钟 vs 62.3分钟),但两组在AVN(5.4% vs 2.7%)、骨不连(2.7% vs 8.1%)等主要并发症方面无统计学差异。表2详细对比了两组的功能和影像学结果。
讨论部分揭示了几个关键点:FNLP的三角形螺钉布局和锁定机制提供了更强的抗旋转稳定性,这解释了其更快的愈合速度和更早的负重时间。值得注意的是,年轻患者和Garden分型较轻的骨折在FNLP组预后更好,而MCCS组男性患者效果相对更佳。研究人员特别指出,虽然FNLP整体表现更优,但MCCS凭借手术时间短、技术门槛低的优势,在资源有限地区仍具实用价值。
这项研究的临床意义在于:首次通过随机对照试验证实FNLP在青壮年FNFs治疗中的综合优势,为临床决策提供了高质量证据;同时建立了不同内固定方式与功能恢复参数的量化关系,有助于制定个体化治疗方案。未来研究可进一步探索不同骨折分型的最佳固定策略,并延长随访时间评估长期预后。正如研究者强调的,在医疗资源分布不均的现实条件下,MCCS仍然是特定情况下的合理选择——这种务实的结论体现了临床研究的真正价值。
生物通微信公众号
知名企业招聘