
-
生物通官微
陪你抓住生命科技
跳动的脉搏
Von Hippel-Lindau病相关视网膜毛细血管瘤的临床特征与真实世界治疗结局分析
【字体: 大 中 小 】 时间:2025年08月19日 来源:International Journal of Retina and Vitreous 2.4
编辑推荐:
本研究针对Von Hippel-Lindau(VHL)病相关视网膜毛细血管瘤(RCH)的治疗难题,由King Khaled Eye Specialist Hospital团队通过11年回顾性队列研究,系统评估了激光光凝、玻璃体切除术等干预手段对32只眼的疗效。结果显示,肿瘤大小、基线视力及并发症(如牵引性视网膜脱离TRD)显著影响预后,60%病例实现肿瘤消退,但33.3%患者最终失明,提示早期干预对改善VHL-RCH患者视力预后的关键作用。
在眼科遗传性疾病领域,Von Hippel-Lindau(VHL)病犹如一个复杂的"多米诺骨牌",其3号染色体短臂上的VHL基因突变会引发全身多系统肿瘤,而视网膜毛细血管瘤(RCH)作为最常见的眼部表现,可导致视力丧失率高达8.2%。尽管激光、抗VEGF等治疗手段不断进步,但肿瘤的多灶性、进展性及继发的视网膜脱离等问题,仍使临床决策充满挑战。
为破解这一难题,沙特阿拉伯King Khaled Eye Specialist Hospital(KKESH)的Abdulrahman Khan团队开展了一项跨越17年的回顾性研究,纳入18例VHL-RCH患者的32只眼,通过多模态治疗评估和长期随访,揭示了影响预后的关键因素。该成果发表于《International Journal of Retina and Vitreous》,为临床实践提供了重要循证依据。
研究人员采用三大关键技术:1) 回顾性队列分析(2007-2024年),纳入经IRB批准的VHL确诊患者;2) 全外显子测序(WES)检测VHL基因变异;3) 多模式治疗评估(激光参数:长持续时间/大光斑/中低功率,平均1.96次;玻璃体切除术12例)。通过多元逻辑回归分析视力预后相关因素。
临床特征
患者平均年龄34.2岁,73.7%为双眼发病,平均肿瘤大小1.5视盘直径(DD)
83.3%病例因渗漏/视网膜下液(SRF)需要治疗,13.3%出现牵引-渗出性视网膜脱离(T-ERD)
治疗结果
激光单独治疗组仅37%实现长期消退,62.5%需二次手术
玻璃体切除术主要适应症:顽固性ERD(7眼)、TERD(4眼),但28.5%需二次手术
肿瘤消退率60%,最终视网膜复位率69.7%,NVG发生率18.2%
预后因素
基线视力<20/200、肿瘤>1.5DD、存在TRD使失明风险倍增(OR 8.1-23.7),NVG(OR 12.2)和角膜并发症(OR 7.6)显著恶化预后。值得注意的是,1例VHL合并增强S锥综合征(ESCS)患者出现罕见脉络膜新生血管(CNVM),经WES证实存在NR2E3基因纯合变异。
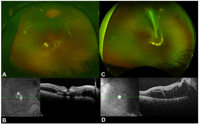
这项研究首次系统阐明了VHL-RCH治疗中的"矛盾现象":激光虽可诱导肿瘤消退,但可能因滋养血管残留引发牵引(如图3所示)。


研究强调三个临床启示:1) 大肿瘤(>3DD)应考虑早期手术而非激光;2) HIF-2α抑制剂Belzutifan可能成为未来选择;3) 对不典型病例需警惕共病可能(如ESCS)。这些发现为制定VHL-RCH分层治疗策略提供了关键证据,尤其对高遗传负荷地区(如沙特)的临床实践具有特殊指导价值。
生物通微信公众号
知名企业招聘