
-
生物通官微
陪你抓住生命科技
跳动的脉搏
改良Akinosi技术在下颌磨牙症状性不可逆性牙髓炎根管治疗中的麻醉效果:一项随机对照临床研究
【字体: 大 中 小 】 时间:2025年08月19日 来源:Scientific Reports 3.9
编辑推荐:
本研究针对下颌磨牙症状性不可逆性牙髓炎(Symptomatic Irreversible Pulpitis)治疗中传统下牙槽神经阻滞(IANB)麻醉失败率高的问题,通过随机对照试验比较改良Akinosi技术(MAT)与标准IANB的麻醉效果。结果显示MAT组80%患者实现无痛操作,显著优于IANB组(51%),为临床提供更可靠的麻醉选择,尤其适用于炎症状态下难治性疼痛控制。
研究背景与意义
牙髓炎治疗中的疼痛控制一直是临床难点,尤其是下颌磨牙因致密骨皮质和复杂的神经分布,传统下牙槽神经阻滞(IANB)麻醉失败率高达44-81%。炎症状态下,神经兴奋阈值降低、钠通道抵抗麻醉药物等问题进一步加剧麻醉难度。印度SMBT牙科学院与研究所(SMBT Institute of Dental Sciences and Research)的团队聚焦这一痛点,探索闭口式麻醉技术——改良Akinosi技术(MAT)的临床价值。
研究方法概要
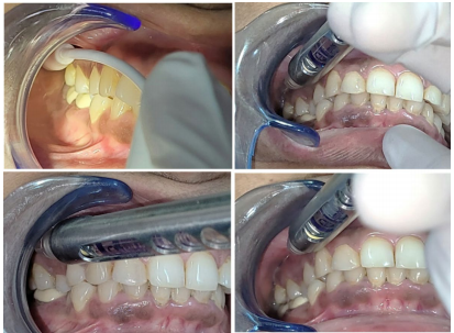
研究纳入80例下颌磨牙症状性不可逆性牙髓炎患者,随机分为IANB组和MAT组(各40例),均使用2%利多卡因(含1:100,000肾上腺素)。通过视觉模拟量表(VAS)评估根管治疗三阶段(开髓、工作长度测定、根管预备)的疼痛程度,统计无需追加麻醉的完成率。
研究结果
麻醉成功率对比
MAT组80%患者全程无痛,显著高于IANB组(51%),且无中重度疼痛报告,而IANB组24.16%出现轻度疼痛。

技术操作差异
MAT采用分阶段注射(25-30mm深度注射0.6-0.7ml,20-25mm追加0.6ml,15-20mm完成注射),覆盖翼下颌间隙内多神经分支,较传统IANB更精准。

时间稳定性
两组疼痛评分在治疗三阶段无显著波动(p>0.05),证实MAT麻醉效果持久性。
结论与讨论
MAT通过改良麻醉剂沉积方式(分阶段注射)和闭口体位优势,显著提升下颌磨牙炎症状态下的麻醉成功率。其机制可能涉及:
更广泛的神经覆盖(下牙槽神经、舌神经、颊神经)
减少肌肉损伤导致的药物扩散障碍
重力辅助药物渗透至神经核心
该研究为临床难治性牙髓炎麻醉提供了标准化方案,未来可进一步探索MAT在复杂解剖变异患者中的应用。论文发表于《Scientific Reports》,为牙髓治疗疼痛管理树立了新标杆。
生物通微信公众号
知名企业招聘