
-
生物通官微
陪你抓住生命科技
跳动的脉搏
AS101通过抗氧化作用保护大鼠卵巢免受阿霉素化疗损伤的机制研究
【字体: 大 中 小 】 时间:2025年08月20日 来源:Journal of Ovarian Research 4.2
编辑推荐:
本研究针对女性生殖系统恶性肿瘤化疗中阿霉素(Doxorubicin)导致的卵巢功能损伤问题,探索了新型碲化合物AS101的保护作用。研究人员通过建立大鼠模型,发现AS101能显著改善阿霉素引起的体重下降、动情周期紊乱,提升血清E2和AMH水平,降低FSH水平,并通过调节SOD/MDA/ROS氧化应激通路减少卵泡闭锁。该研究为化疗患者卵巢功能保护提供了潜在治疗策略,发表于《Journal of Ovarian Research》。
女性生殖系统恶性肿瘤的化疗常伴随卵巢功能损伤这一严峻问题。阿霉素作为常用化疗药物,虽能有效抑制肿瘤,却会通过氧化应激、DNA损伤等多重机制加速卵泡耗竭,导致患者出现月经紊乱、不孕甚至早衰。传统胚胎冷冻等方法存在成本高、成功率低的局限,亟需开发新型卵巢保护剂。
在这项发表于《Journal of Ovarian Research》的研究中,Zhai Yumeng和Zhang Yaoyang等学者将目光投向了一种具有抗氧化特性的小分子化合物——三氯碲酸铵(AS101)。这种化合物此前已被证实能减轻化疗药物对器官组织的损伤,但其在卵巢保护中的作用机制尚不明确。
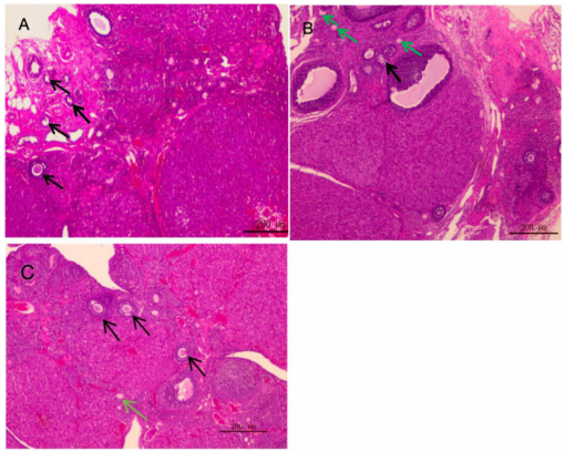
研究团队采用经典的SD大鼠模型,通过腹腔注射阿霉素(10 mg/kg)建立卵巢损伤模型,并创新性地引入AS101(3 mg/kg)进行干预。实验设计包含三组对比:空白对照组(A组)、单纯阿霉素组(B组)以及阿霉素+AS101组(C组)。研究过程中,团队系统监测了大鼠体重变化、动情周期规律性,并采用ELISA检测血清激素水平(E2、FSH、AMH)和氧化应激指标(SOD、MDA、ROS)。通过HE染色对卵巢组织进行形态学分析,定量统计原始卵泡和闭锁卵泡数量。
比较各组大鼠一般状态
阿霉素组大鼠出现典型的化疗不良反应:毛发失去光泽、食欲减退、体重显著下降。而AS101干预组体重恢复接近正常水平,提示AS101可能改善化疗导致的全身代谢紊乱。

动情周期变化
阴道涂片监测显示,阿霉素组动情周期完全紊乱,而AS101组恢复了规律的周期节律。这一现象与临床化疗患者月经失调的症状高度吻合,证实AS101能维持生殖内分泌稳态。
血清激素水平
关键发现显示:AS101使E2水平从21.13±2.05 pg/mL回升至57.22±6.65 pg/mL,AMH从1257.15±111.16 pg/mL恢复至2002.00±79.52 pg/mL,同时FSH从17.14±0.61 IU/L降至7.77±0.25 IU/L。这些数据表明AS101能有效保护卵巢的内分泌功能。
氧化应激指标
机制研究揭示,AS101使卵巢组织SOD活性从86.28±4.56 U/mL提升至119.80±1.21 U/mL,MDA含量从79.6±0.89 nmol/L降至37.8±0.76 nmol/L,ROS水平从29.76±1.34 ng/mL回落至19.55±1.23 ng/mL。这证实其保护作用与减轻氧化损伤密切相关。
卵泡发育状况
组织学分析显示,AS101干预使原始卵泡数量从82.5±3.619个增至107.17±2.137个,闭锁卵泡从15.50±1.871个减少至6.00±1.414个,直观证实了其对卵巢储备功能的保护效果。

这项研究的重要意义在于:首次系统证实AS101通过调节氧化应激通路保护卵巢功能的双重作用——既维持内分泌平衡(E2/FSH/AMH),又减少卵泡耗竭。相较于传统生育力保存方法,AS101具有成本低、使用便捷的优势,为临床化疗患者卵巢保护提供了新思路。未来研究可进一步探索其在灵长类动物模型中的效果及具体分子机制,推动其向临床转化应用。
生物通微信公众号
知名企业招聘