
-
生物通官微
陪你抓住生命科技
跳动的脉搏
基于深度学习的多病灶肺癌CT影像分割技术突破:真实世界多中心研究验证
【字体: 大 中 小 】 时间:2025年08月20日 来源:European Radiology Experimental 3.6
编辑推荐:
本研究针对肺癌CT影像中多病灶自动分割的临床难题,开发了基于nnU-Net框架的三步式深度学习管道(LLSB_CFPR),通过胸廓边界框提取、多实例分割和新型多尺度级联分类器(CFPR)的假阳性消除技术,在包含5,322个病灶的1,081例多中心CT数据集中实现76%的Dice相似系数和85%的病灶检测灵敏度,外部验证显示73%的DSC,为肺癌全病灶负荷评估提供了可靠AI工具。
肺癌作为最具侵袭性的恶性肿瘤之一,非小细胞肺癌(NSCLC)占病例80%以上且5年生存率仅28%。CT成像虽是临床分期和监测的金标准,但依赖人工测量的RECIST 1.1标准存在效率低下和可重复性差的问题。更严峻的是,现有AI分割研究多局限于单病灶分析,忽视了转移灶的检测需求——而这恰恰是评估疾病进展和治疗响应的关键。这种"只见树木不见森林"的现状,促使Xavier Rafael-Palou团队开展了这项开创性研究。
研究团队构建了包含1,081例多中心CT扫描的DS-Fuse队列(含5,322个标注病灶),采用三步技术路线:首先通过LMInferer工具生成胸廓边界框解决视野变异问题;随后改进nnU-Net实现多实例分割,用3D连通组件算法区分独立病灶;最终创新性地开发级联假阳性消除系统(CFPR),包含专门处理肺外候选灶的XPC分类器和验证肺内病灶的LVC分类器。外部验证采用188例独立数据集DS-CHM。
【胸廓边界框的优化作用】
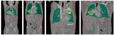
比较基线模型LLS与引入胸廓约束的LLSB,DSC提升5.4%至74.6%,证明该预处理能有效聚焦感兴趣区域。图示案例显示,传统肺掩模(绿色)会遗漏胸膜附近病灶,而红色虚线所示的胸廓边界框成功捕获全部目标。

【假阳性消除的级联优势】
CFPR系统展现出精准分工:XPC在DS-FPX测试中AUROC达99%,专精识别肺外假阳性;3D ResNet-50架构的LVC则在肺内验证中取得89.4%的AUROC。两者级联使整体AUROC提升至90.1%,每例CT平均仅产生2个假阳性,同时保持84.9%的召回率。

【体积定量验证】
Bland-Altman分析显示预测与人工标注体积偏差仅-0.001L,95%一致性界限为±0.1L,R2达0.83(p<0.0001),满足临床测量需求。值得注意的是,对≥10mm病灶的分割性能(DSC 81%)显著优于既往研究6个百分点。
这项发表于《European Radiology Experimental》的研究,首次系统解决了多病灶肺癌分割的临床痛点。其创新性体现在三方面:一是采用真实世界多中心数据确保泛化性;二是首创级联分类器策略针对性处理不同来源的假阳性;三是实现全病灶负荷的精准量化。尽管在肺门区和纵隔附近仍存在漏诊(如Fig.7所示案例),但该方法已超越Swin-UNet等对比模型,为肺癌精准诊疗提供了新范式。未来通过纳入更多罕见病灶亚型和扩大无病灶样本验证,将进一步推动该技术的临床转化。

生物通微信公众号
知名企业招聘