
-
生物通官微
陪你抓住生命科技
跳动的脉搏
可可多酚通过Sirtuins通路减轻耳蜗氧化损伤延缓年龄相关性听力损失的作用机制研究
【字体: 大 中 小 】 时间:2025年08月22日 来源:GeroScience 5.4
编辑推荐:
本研究针对年龄相关性听力损失(ARHL)这一尚无有效治疗手段的老年常见疾病,探索了可可多酚通过调控Sirtuins家族蛋白(SIRT1/SIRT3)减轻耳蜗氧化损伤的分子机制。研究人员通过建立C57BL/6J小鼠衰老模型,发现可可饮食显著提升耳蜗组织SIRT1/SIRT3表达,激活FOXO3转录因子,抑制p53介导的细胞凋亡,同时降低活性氧(ROS)水平和8-OHdG标志物,恢复SOD/GSH-Px/CAT抗氧化酶活性。该研究为ARHL的膳食干预提供了新靶点,发表于《GeroScience》具有重要转化价值。
随着年龄增长,听力逐渐下降成为困扰老年人群的普遍问题。年龄相关性听力损失(ARHL)影响着全球约40%的65岁以上老人,到80岁时患病率更高达80%。令人惊讶的是,男性不仅发病率高于女性,症状出现时间也更早。这种"听得见的衰老"背后,隐藏着耳蜗细胞被活性氧(ROS)逐步侵蚀的分子悲剧。虽然科学家们早已发现氧化应激是ARHL的关键推手,但如何有效阻断这一进程仍是未解难题。
在寻找解决方案的过程中,一类被称为"长寿蛋白"的Sirtuins家族进入了研究视野。特别是SIRT1和SIRT3,它们像细胞里的"抗衰老卫士",能调控氧化应激反应和线粒体功能。与此同时,日常生活中常见的可可粉因其富含的多酚类物质展现出强大的抗氧化潜力。那么,可可能否通过激活Sirtuins来保护耳蜗细胞?这个有趣的假设催生了Rosalía Fátima Heredia-Molina团队的最新研究。
研究人员采用C57BL/6J小鼠模型,将其分为标准饮食组和含8.2 mg/kg可可的干预组,在6、14、22月龄时采集耳蜗组织。通过ELISA、实时荧光定量PCR、免疫荧光等技术检测SIRT1/SIRT3、FOXO3、p53等靶点表达,结合DHE探针和8-OHdG检测评估氧化损伤程度,并分析超氧化物歧化酶(SOD)、谷胱甘肽过氧化物酶(GSH-Px)、过氧化氢酶(CAT)活性。
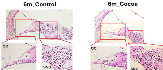
可可改善老年小鼠耳蜗结构
组织学分析显示,22月龄对照组小鼠出现明显的内毛细胞缺失和螺旋神经节(SGN)退化,而可可饮食组这些病理变化显著减轻。

可可激活Sirtuins信号通路
14月龄起,可可组耳蜗SIRT1蛋白和基因表达显著升高(p<0.05),22月龄时SIRT3表达也明显增加。有趣的是,22月龄雄性小鼠SIRT1水平显著高于雌性(p<0.001)。

调控下游靶点网络
可可饮食使22月龄小鼠FOXO3表达显著提升,同时抑制了衰老相关的p53过度激活。这种双重调节作用可能通过减少细胞凋亡来保护耳蜗功能。
减轻氧化损伤
DHE荧光检测显示,老年对照组耳蜗 Corti器、Reissner膜等部位ROS显著增加,而可可干预使22月龄小鼠ROS水平降低41%。8-OHdG检测也证实可可使DNA氧化损伤标志物从6.49±0.2降至4.46±0.21 ng/mL(p<0.05)。

恢复抗氧化防御系统
14月龄可可组SOD活性提升28%,22月龄时CAT和GSH-Px活性分别增加37%和62%。值得注意的是,6月龄雌性小鼠的SOD和CAT活性显著高于雄性。
这项发表于《GeroScience》的研究首次阐明可可多酚通过SIRT1/SIRT3-FOXO3/p53轴减轻耳蜗氧化损伤的分子机制。研究不仅为ARHL的膳食干预提供了科学依据,还揭示了性别差异在抗氧化防御系统中的重要作用。从转化医学角度看,富含可可的饮食策略具有操作简便、成本低廉的优势,尤其适合老年人群长期应用。未来研究可进一步优化可可多酚剂量,并探索与其他抗氧化剂的协同效应,为开发ARHL的精准防治方案开辟新途径。
生物通微信公众号
知名企业招聘