
-
生物通官微
陪你抓住生命科技
跳动的脉搏
新型硅基材料分解图像在胰腺导管腺癌诊断中的应用:与碘基及50 keV虚拟单能谱图像的对比研究
【字体: 大 中 小 】 时间:2025年08月23日 来源:Japanese Journal of Radiology 4.1
编辑推荐:
本研究针对胰腺导管腺癌(PDAC)诊断中传统CT技术的局限性,创新性地通过双能CT(DECT)生成702种材料分解(MD)图像数据集,筛选出硅/鸟粪石(Silicon/Struvite)图像作为最优方案。研究发现,该图像联合50 keV虚拟单能谱图像(VMIs)可将诊断特异性提升至88%,阳性预测值达93%,显著优于传统碘基图像组合。该成果为PDAC早期诊断提供了更精准的影像学工具,尤其有助于提高非专家医师的诊断信心,发表于《Japanese Journal of Radiology》。
胰腺癌被称为"癌中之王",其中胰腺导管腺癌(PDAC)占所有胰腺恶性肿瘤的90%。尽管胰腺CT协议扫描是目前临床诊断的金标准,但小于2厘米、等密度且未引起轮廓改变的肿瘤仍容易被漏诊。传统碘基双能CT(DECT)图像虽能提供定量增强评估,但其诊断效能仍有提升空间。这一临床痛点促使Yoshifumi Noda团队开展了一项开创性研究,试图从702种可能组合中筛选出最优材料分解(MD)图像,为PDAC诊断提供更精准的影像学解决方案。
研究团队采用快速千伏切换DECT扫描仪(Revolution CT with Apex edition),对110例患者进行胰腺期双期扫描。关键技术包括:1) 基于体重调整的碘对比剂注射方案(600 mgI/kg);2) 27种材料组合生成702组MD图像;3) 通过z值统计筛选最优图像组合;4) 四名放射科医师盲法评估诊断效能。研究队列包含67例经病理证实的PDAC患者和43例非PDAC对照。
研究结果显示:
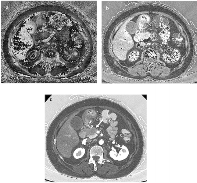
最优MD图像筛选:通过对比702种组合,硅/鸟粪石(Silicon/Struvite)图像以最高|z|值(-0.46)胜出,其胰腺与PDAC的对比差异达-256%,显著优于传统碘基图像(24%)。

诊断效能提升:硅/鸟粪石图像联合50 keV VMIs使整体诊断准确率从92%提升至94%,特异性从81%提升至88%。尤其值得注意的是,该组合将受训医师的诊断准确率提升至专家水平(94% vs 95%)。
诊断信心改善:专家组的"不确定"诊断比例从24%降至9%,整体诊断信心评分显著提高(P<0.001)。图3案例显示硅/鸟粪石图像使肿瘤显影更清晰。

这项研究突破了传统DECT仅关注碘基图像的局限,首次系统评估了多种材料组合的诊断价值。硅/鸟粪石图像的高对比特性使其能更清晰区分PDAC与炎性病变,解决了胰腺局部强化不均导致的假阳性问题。临床实践中,该方法可整合至现有胰腺CT协议,无需额外扫描即能提供更可靠的诊断依据。
研究也存在一定局限性:仅使用GE Healthcare单厂商设备,且对比剂剂量固定为600 mgI/kg。未来研究可探索不同厂商平台和个体化对比剂方案的优化空间。总体而言,该成果为PDAC精准诊断开辟了新思路,特别是提升了非专家医师的诊断水平,具有重要的临床转化价值。
生物通微信公众号
知名企业招聘