
-
生物通官微
陪你抓住生命科技
跳动的脉搏
TEX44-CPT1B轴调控精子线粒体鞘组装与脂肪酸氧化的分子机制及其在男性不育中的临床意义
【字体: 大 中 小 】 时间:2025年08月25日 来源:Nature Communications 15.7
编辑推荐:
本研究揭示了TEX44-CPT1B分子轴在精子线粒体鞘组装和能量代谢中的关键作用。通过对800例弱精症患者的全外显子测序,研究人员发现TEX44基因双等位变异会导致线粒体鞘缺陷和精子运动障碍。实验证实TEX44通过与CPT1B互作形成"线粒体胶水",调控长链脂肪酸氧化(FAO)平衡,避免活性氧(ROS)过度积累。该发现为男性不育的分子诊断和治疗提供了新靶点。
在男性不育的复杂病因中,弱精症(asthenozoospermia)约占19%,但超过80%病例的分子机制尚未阐明。精子作为唯一能在体外独立运动的细胞,其鞭毛运动需要大量ATP供能。虽然传统认为糖酵解是主要能量来源,但奇怪的是,人类精子在无糖培养基中仍能保持运动能力,暗示存在替代能源途径。线粒体脂肪酸β氧化(FAO)作为重要的能量代谢通路,在精子中的功能一直是个谜团。
为解开这个谜题,来自南京医科大学、上海交通大学等机构的研究团队在《Nature Communications》发表了突破性成果。通过对800例弱精症患者进行全外显子测序(WES),发现6例患者携带TEX44基因的双等位变异。这些患者表现出特征性的线粒体鞘缺陷和严重运动障碍,提示TEX44可能在精子能量代谢中扮演关键角色。
研究采用多学科技术手段:1) 临床队列的基因筛查与表型分析;2) CRISPR/Cas9构建Tex44和Cpt1b基因敲除小鼠模型;3) 免疫共沉淀-质谱(IP-MS)鉴定蛋白互作网络;4) 代谢组学分析脂肪酸氧化产物;5) 体外酶活实验验证TEX44对CPT1B的调控机制;6) 辅助生殖技术评估临床干预效果。
Biallelic TEX44 variants disrupt sperm mitochondrial sheath
在6例携带TEX44变异的患者中,c.424_427del(p.Glu142fs)移码突变导致蛋白完全缺失,表现为线粒体鞘部分脱落;而c.236A>G(p.Gln79Arg)错义突变患者表型较轻。电镜显示突变精子线粒体鞘在远端(近annulus环处)出现断裂,但鞭毛长度正常。基因敲除小鼠完美重现了人类表型,证实TEX44缺陷特异性影响线粒体鞘组装而非线粒体生物合成。
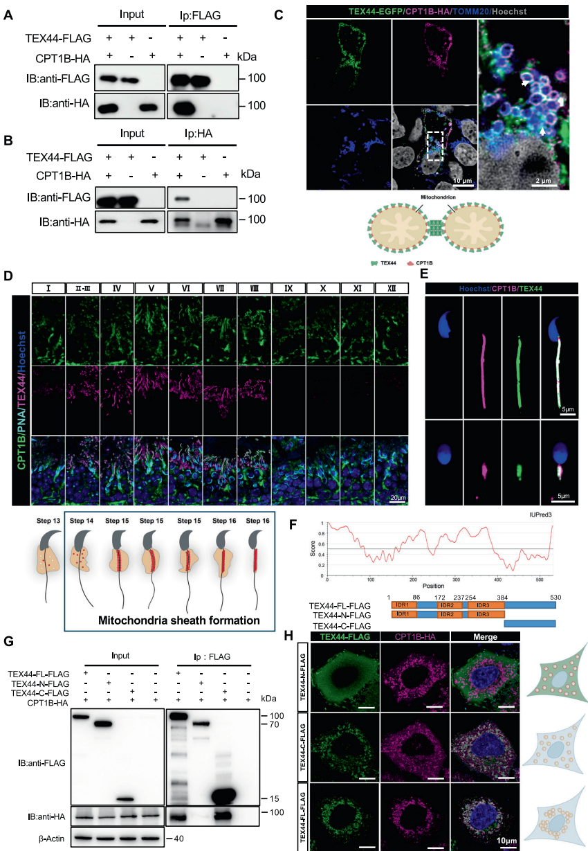
TEX44-CPT1B links mitochondria and exhibits phase separation
IP-MS筛选出TEX44与线粒体外膜蛋白CPT1B存在直接互作。有趣的是,TEX44通过C端(385-530aa)与CPT1B结合,而N端(1-384aa)形成"分子胶水"连接相邻线粒体。AlphaFold3预测显示TEX44(424-450)片段嵌入CPT1B的静电互补腔中,这种独特结构为解释其功能提供了分子基础。
CPT1B loss disrupts TEX44 assembly and mitochondrial sheath
生殖细胞特异性Cpt1b敲除小鼠出现与Tex44敲除相似的表型,但程度较轻。值得注意的是,在Cpt1b-/-睾丸中TEX44仍能表达但无法正确定位,而在Tex44-/-精子中CPT1B定位正常,证实CPT1B是TEX44的线粒体锚定平台。
TEX44 limits long-chain acylcarnitine production in sperm
代谢组学发现Tex44-/-精子中棕榈酰肉碱(L-palmitoylcarnitine)和肉豆蔻酰肉碱(Myristoyl-l-carnitine)异常升高,而Cpt1b-/-精子则显著降低。体外酶活实验揭示全长的TEX44能抑制CPT1B将长链酰基-CoA转化为酰基肉碱的活性,这种"分子刹车"机制可防止脂肪酸过度氧化。
Tex44-/- sperm show increased ROS damage in palmitoyl-CoA media
在含棕榈酰-CoA的培养基中,Tex44-/-精子产生过量ROS,导致鞭毛弯曲和DNA损伤;而Cpt1b-/-精子因FAO受阻,ROS水平反而降低。这解释了为何Tex44-/-表型比Cpt1b-/-更严重——失去调控的CPT1B如同"脱缰野马",导致能量代谢失控。
这项研究首次阐明精子通过TEX44-CPT1B轴精确调控FAO与ROS平衡的独特机制:TEX44既作为结构蛋白参与线粒体鞘组装,又作为代谢调节器控制CPT1B活性。临床意义在于:1) 将TEX44列为弱精症的新诊断标志物;2) 为携带TEX44变异的患者推荐ICSI(卵胞浆内单精子注射)治疗,研究中两位患者通过该技术成功妊娠;3) 提示调节脂肪酸代谢可能成为改善精子功能的新策略。



生物通微信公众号
知名企业招聘