
-
生物通官微
陪你抓住生命科技
跳动的脉搏
极端铁过载脑组织中MRI R2*与定量磁化率成像(QSM)的算法比较与临床应用价值
【字体: 大 中 小 】 时间:2025年08月25日 来源:European Radiology Experimental 3.6
编辑推荐:
本研究针对罕见病无铜蓝蛋白血症(ACP)患者脑内极端铁过载的量化难题,系统评估了6种R2算法和6种QSM算法在不同参考区域选择下的表现。研究发现极端铁浓度会放大R2和QSM测量变异,其中QSM参考区域选择对结果的影响超过算法差异,全脑参考会导致铁沉积低估,而脑脊液(CSF)参考更适用于弥漫性铁过载。该研究为铁代谢异常疾病的MRI精准定量提供了重要方法学依据。
在神经科学和医学影像领域,准确量化脑内铁含量对理解神经退行性疾病的病理机制至关重要。无铜蓝蛋白血症(Aceruloplasminemia, ACP)作为一种罕见的常染色体隐性遗传病,其脑内铁浓度可达正常值的10倍以上,为研究极端铁过载提供了独特模型。传统MRI技术如R2*(横向弛豫率)和新兴的定量磁化率成像(Quantitative Susceptibility Mapping, QSM)虽被广泛用于铁定量,但在极端铁浓度下的可靠性仍存疑问。Christoph Birkl等研究者通过对比多种算法,揭示了技术选择对测量结果的深远影响。
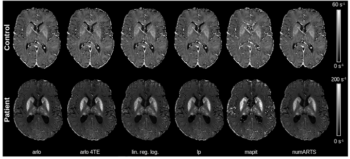
研究团队采用前瞻性设计,纳入3名ACP患者和3名健康对照,使用3T MRI系统采集三维多回波梯度回波序列(9个回波,TE=2.6-30.6ms)。关键技术包括:6种R2*算法(如基于自回归线性运算的快速单指数拟合算法ARLO、对数空间线性模型等);6种QSM算法(如快速非线性磁化率反演FANSI、改进的稀疏线性方程iLSQR等);3种参考区域策略(全脑、脑脊液CSF、无参考)。通过FSL-FIRST自动分割深部灰质核团,采用排列转换方差分析比较算法差异。
R2算法比较*

研究发现:对数空间线性模型在极端铁过载区域(如壳核)显著低估R2*值(p<0.001),而ARLO和非线性算法表现稳健。值得注意的是,在齿状核等铁浓度极高区域,即使最短TE=2.6ms仍出现信号丢失,提示需要超短TE序列。
QSM参考区域影响

关键发现:参考区域选择对结果的影响远超算法差异(F=264 vs F=10)。全脑参考导致苍白球等区域出现反常的负相关性(R2*与QSM相关系数p<0.001),而CSF参考则保持生理合理性。ACP患者CSF参考的磁化率值范围(0.593ppm)显著大于全脑参考(0.527ppm),反映全脑铁弥漫性升高导致的参考偏差。
技术相关性

在信号完全衰减区域(如齿状核),QSM仍能提供可靠成像,得益于相位图像更高的信噪比和磁化率源的非局部效应。多回波快速两步QSM(mERTS)结合CSF参考展现出最佳稳定性。
这项研究确立了极端铁过载条件下MRI定量技术的应用规范:推荐采用ARLO类算法进行R2*测量,而QSM应优先选择CSF参考并结合多算法验证。发现全脑参考会系统性低估铁负荷,这对ACP等弥漫性铁沉积疾病的临床监测具有重要警示意义。研究结果发表于《European Radiology Experimental》,为QSM从科研向临床转化过程中遇到的极端值处理提供了方法论框架,同时揭示了铁代谢异常疾病中组织磁化特性的复杂变化规律。
生物通微信公众号
知名企业招聘