
-
生物通官微
陪你抓住生命科技
跳动的脉搏
多发性骨病变弥漫大B细胞淋巴瘤(DLBCL)并发重度高钙血症的急诊血液透析与多药联合治疗策略研究
【字体: 大 中 小 】 时间:2025年08月26日 来源:BMC Nephrology 2.4
编辑推荐:
本研究报道了一例罕见的弥漫大B细胞淋巴瘤(DLBCL)伴多发性骨病变引发的重度高钙血症(血清钙高达23.0 mg/dL)病例。研究人员通过急诊血液透析、水化治疗联合降钙素、双膦酸盐及地诺单抗(denosumab)的多模式治疗方案,成功控制这一危及生命的并发症。该研究为DLBCL相关高钙血症的临床管理提供了重要参考,证实了靶向RANKL通路在治疗中的关键作用。
在恶性肿瘤并发症中,高钙血症就像个危险的"隐形杀手",而弥漫大B细胞淋巴瘤(DLBCL)患者中这一并发症的发生率约为25%。当血清钙浓度突破20mg/dL大关时,患者可能陷入昏迷甚至面临生命危险。更棘手的是,目前对于DLBCL伴多发性骨病变引发的重度高钙血症,临床尚缺乏标准治疗方案。Yusaku Watanabe等学者在《BMC Nephrology》发表的这项研究,犹如黑暗中的一盏明灯,为这类危急病例提供了切实可行的救治方案。
研究团队采用多学科协作模式,通过急诊血液透析、水化治疗联合药物干预的三管齐下策略。关键技术包括:血清钙浓度动态监测(采用校正钙计算公式:校正钙=总钙+[4.0-白蛋白])、对比增强CT定位骨病变、骨髓穿刺活检确诊DLBCL,以及靶向RANKL的地诺单抗治疗。病例来自日本医疗机构转诊的54岁女性患者。
【病例特点】患者初始血清钙高达23.0 mg/dL(校正后21.4 mg/dL),伴随昏迷和肾功能异常。实验室检查排除了甲状旁腺功能亢进和维生素D相关病因,PTHrP水平正常,但存在显著低白蛋白血症(3.0 g/dL)和碱性磷酸酶升高(192 IU/L)。
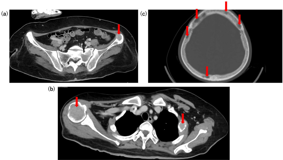
【影像学发现】CT扫描揭示多发性溶骨性病变,累及右肱骨、左第二肋骨、颅骨和骨盆。这些病变被认为是高钙血症的罪魁祸首。

【治疗历程】初始的血液透析和降钙素治疗仅获得短暂效果,血清钙出现反弹。在加用唑来膦酸仍控制不佳的情况下,研究团队果断启用120mg地诺单抗皮下注射,最终实现血清钙的持续控制。病理确诊为DLBCL后,采用pola-R-CHP方案(包含polatuzumab vedotin、利妥昔单抗、环磷酰胺、阿霉素和泼尼松)进行化疗。

【机制探讨】研究排除了常见的HHM(体液性高钙血症)和维生素D介导的机制,认为局部溶骨性高钙血症(LOH)是主要病理过程。虽然未直接检测RANKL表达,但地诺单抗的显著疗效暗示RANKL/RANK通路活化可能参与其中。
这项研究的重要意义在于:首次系统报道了DLBCL伴多发性骨病变导致极端高钙血症的成功救治案例;创新性地将地诺单抗纳入治疗方案,为双膦酸盐耐药病例提供新选择;强调多学科协作在恶性肿瘤并发症管理中的价值。研究同时指出需警惕校正钙计算公式在低白蛋白血症患者中的局限性,为临床实践提供了重要警示。
生物通微信公众号
知名企业招聘