
-
生物通官微
陪你抓住生命科技
跳动的脉搏
EpCAM生物标志物在膀胱癌中的临床价值及其与免疫细胞浸润的关联研究
【字体: 大 中 小 】 时间:2025年08月26日 来源:Diagnostic Pathology 2.3
编辑推荐:
本研究针对膀胱癌异质性高、复发进展风险大的临床难题,通过TCGA数据库和回顾性队列分析,首次系统评估了MOC-31抗体检测EpCAM的表达特征。研究发现51.7%膀胱癌患者存在EpCAM膜阳性表达,其低表达与不良预后相关,且与EGFR/HER2/Claudin-7等关键蛋白互作,显著影响CD4+T细胞、B细胞等免疫浸润格局。该成果为膀胱癌免疫治疗靶点选择提供了新依据,发表于《Diagnostic Pathology》。
膀胱癌作为全球高发恶性肿瘤,其临床管理面临两大困境:一是高达45%的非肌层浸润性膀胱癌(NMIBC)会进展为致命性的肌层浸润型(MIBC),二是缺乏可靠的预后标志物指导个体化治疗。这种"分子异质性高、复发风险大"的特性,使得患者长期生存率停滞不前。更棘手的是,现有诊断手段难以准确识别高风险患者,导致临床决策如同"盲人摸象"。
在这样的背景下,上皮细胞粘附分子(EpCAM)进入了研究视野。这个跨膜糖蛋白不仅是细胞间连接的"桥梁",更是调控肿瘤增殖、迁移和上皮-间质转化(EMT)的"多功能开关"。虽然MOC-31抗体已用于鉴别间皮瘤和转移癌,但其在膀胱癌中的临床价值仍是未解之谜。Taoufik Nedjadi团队首次将分子生物学技术与临床病理学相结合,通过多维度分析揭示了EpCAM在膀胱癌中的"双面角色"。
研究采用三大关键技术:① 利用TCGA数据库进行泛癌种EpCAM表达谱和甲基化分析;② 构建包含182例沙特患者膀胱癌组织芯片(TMA),采用MOC-31抗体进行免疫组化(IHC)染色;③ 通过STRING和TIMER数据库进行蛋白互作网络及免疫浸润关联分析。样本来自2005-2010年King Abdulaziz大学医院的根治性膀胱切除术患者,均未接受新辅助治疗。
EpCAM表达在泛癌种中的特征
通过UALCAN平台分析24种癌症类型发现,EpCAM在膀胱癌等13种恶性肿瘤中显著上调,而在肝细胞癌(LIHC)等6种癌症中下调。甲基化分析显示,EpCAM高表达与启动子区低甲基化显著相关。值得注意的是,EpCAM过表达在膀胱癌I期即已出现,并持续存在于各进展阶段,提示其可能是癌变的"早期事件"。
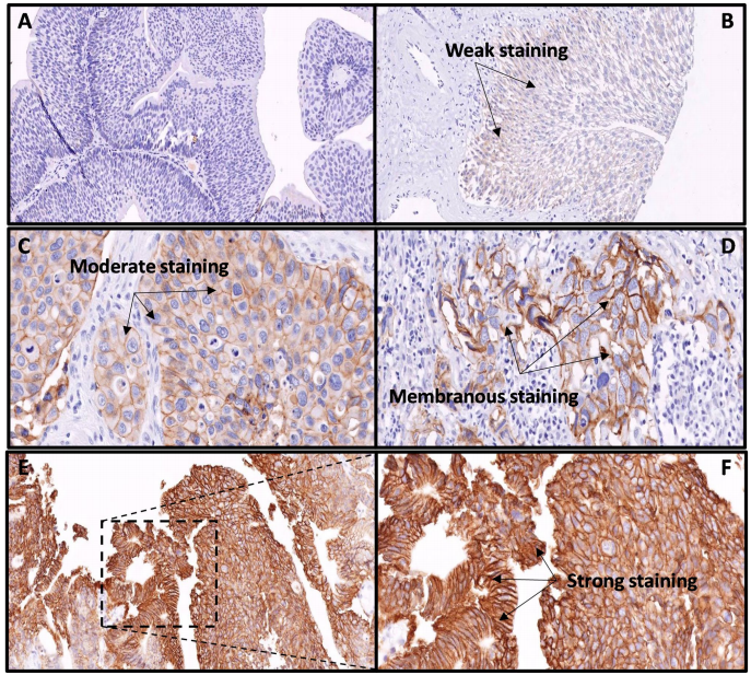
MOC-31的免疫组化特征

组织芯片分析显示51.7%(94/182)病例存在MOC-31膜阳性,其中77%为弱阳性(+1),14%中度阳性(+2),9%强阳性(+3)。独特的发现是:所有胞浆阳性病例均伴随膜表达,但未见核染色。这种表达模式在MIBC与NMIBC间无显著差异,暗示EpCAM可能从癌变初期就持续发挥作用。
临床预后关联性
虽然EpCAM表达与常规临床参数(如TNM分期、分级)无统计学关联,但生存分析发现重要趋势:低EpCAM表达组呈现更差的总生存期(OS)趋势(p=0.09)。TCGA数据验证了这一趋势(p=0.18),这与既往乳腺癌研究中EpCAM的预后价值形成有趣对比。
分子机制探索

STRING分析揭示EpCAM与EGFR、HER2、Claudin-7等形成紧密互作网络。更关键的是,TIMER数据库显示EpCAM高表达与na?ve B细胞、调节性T细胞(Treg)正相关,而与活化记忆CD4+T细胞负相关。免疫检查点分析发现,EpCAM与TNF-SF15等刺激基因正相关,却与PD-L1、CTLA-4等抑制基因负相关,这种"免疫调节双刃剑"特性为联合免疫治疗提供新思路。
这项研究首次系统阐释了EpCAM在膀胱癌中的多层面价值:既是疾病进展的"分子推手",又是免疫微环境的"调控枢纽"。虽然回顾性设计和样本量限制需要后续验证,但研究提出的"EpCAM-免疫检查点"交互网络,为破解膀胱癌免疫治疗耐药难题提供了全新视角。特别是MOC-31抗体在膀胱癌中的应用可行性验证,将推动液体活检等无创诊断技术的发展。未来研究可进一步探索EpCAM与FGFR3等膀胱癌驱动基因的协同机制,以及其作为ADC药物靶点的潜力。
生物通微信公众号
知名企业招聘