
-
生物通官微
陪你抓住生命科技
跳动的脉搏
前列腺神经内分泌分化的病理学特征与临床意义:从腺癌到治疗相关神经内分泌癌的分子机制与诊疗进展
【字体: 大 中 小 】 时间:2025年08月26日 来源:Die Pathologie 0.9
编辑推荐:
本研究系统阐述了前列腺肿瘤中神经内分泌(NE)分化的五种类型,重点揭示了治疗相关神经内分泌前列腺癌(t-NEPC)的分子机制(如AR缺失、RB1/TP53失活)和临床意义。通过免疫组化(IHC)和分子病理学分析,证实t-NEPC经雄激素剥夺治疗后通过表观遗传重编程发生转分化,具有高增殖性(Ki67>50%)和不良预后,为临床开展随访活检和靶向治疗(如EZH2抑制剂)提供理论依据。
前列腺作为男性特有的内分泌器官,其肿瘤异质性一直是病理诊断的难点。1944年Pretl首次描述前列腺中的神经内分泌(NE)细胞,这些散在分布的细胞虽无增殖活性且缺乏雄激素受体(AR),却通过分泌血清素等生物活性物质以旁分泌方式影响肿瘤微环境。随着抗雄激素治疗的普及,临床发现部分前列腺癌会"改头换面"——从腺癌转分化为极具侵袭性的神经内分泌癌,这种治疗相关神经内分泌前列腺癌(t-NEPC)在2022年WHO第五版分类中首次被列为独立类型,其5年生存率不足10%,成为临床亟待解决的难题。
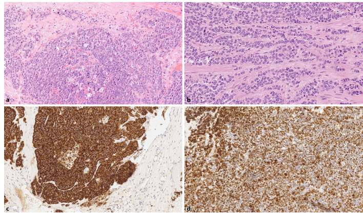
研究团队通过组织病理学结合分子检测技术,系统分析了前列腺NE肿瘤的五大类型:(1)仅免疫组化可检出的腺癌伴NE分化;(2)潘氏细胞样NE分化的腺癌;(3)神经内分泌肿瘤/类癌(NET);(4)小细胞神经内分泌癌(SCNEC);(5)大细胞神经内分泌癌(LCNEC)。关键技术包括:免疫组化检测铬粒蛋白A(chromogranin A)、突触素(synaptophysin)等NE标志物;Ki67增殖指数评估;苏木精-伊红(H&E)染色结合显微切割技术进行组织学分析;以及分子水平检测RB1/TP53基因失活和EZH2表观遗传修饰。
腺癌伴部分NE分化
通过连续切片比较发现,常规腺癌(H&E染色)中混杂的NE肿瘤细胞(NETC)需经免疫组化显色才能识别。有趣的是,这些细胞在体外实验中可通过提高cAMP水平诱导转分化,且该过程具有可逆性。虽然NETC数量与Gleason评分正相关,但多变量分析显示其无独立预后价值,因此新版WHO分类不再推荐常规检测。

潘氏细胞样NE分化
这种特殊形态可见于正常腺体、高级别上皮内瘤变(HGPIN)和浸润性腺癌,其特征是胞质内出现嗜酸性颗粒。关键发现是:含有潘氏细胞样分化的区域若按Gleason系统评分会导致过度分级,实际预后取决于非潘氏细胞样区域的肿瘤分化程度。

神经内分泌肿瘤/类癌
真正的前列腺NET需满足三要素:与腺癌无直接关联、NE标志物阳性且PSA阴性、起源于前列腺实质。文献记载的7例病例中,3例与MEN2B综合征相关,所有病例均表现惰性生物学行为,建议参照胃肠NET的Ki67分级标准。
小细胞神经内分泌癌
SCNEC具有特征性形态:细胞体积小、染色质致密、核仁不明显,常见核铸型。免疫组化显示>90%病例表达至少一种NE标志物,FOXA2阳性率75%,RB1缺失率90%,Ki67通常>80%。值得注意的是,约50%病例存在TMPRSS2-ERG融合,但AR表达缺失提示对内分泌治疗耐药。

治疗相关神经内分泌癌
t-NEPC的发生机制研究最为深入:雄激素剥夺导致RB1和TP53双重失活,引发表观遗传重编程。EZH2启动子区超甲基化使该组蛋白修饰酶表达量翻倍,驱动NE表型转化。这类肿瘤诊断需结合治疗史,典型表现为残留腺癌与SCNEC样区域并存,但Gleason评分因治疗影响不再适用。

大细胞神经内分泌癌
LCNEC以细胞体积大、染色质细腻、核仁明显为特征,同样具有高增殖活性(Ki67>50%)。目前全球仅报道25例,中位生存期7个月,治疗策略参照SCNEC。
这项发表于《Die Pathologie》的研究建立了前列腺NE肿瘤的标准化诊断框架,其突破性在于:首次阐明t-NEPC的分子机制,提出EZH2抑制剂治疗新策略;修正了潘氏细胞样分化的分级误区;确立SCNEC/LCNEC的鉴别诊断标准。对临床实践的指导意义尤为突出:建议对去势抵抗性前列腺癌进行随访活检以早期发现NE转化,并为开发靶向表观遗传的药物提供理论支撑。随着对肿瘤细胞可塑性的深入认识,这类"变形记"般的病理转化将不再成为诊疗盲区。
生物通微信公众号
知名企业招聘