
-
生物通官微
陪你抓住生命科技
跳动的脉搏
一期后路病灶清除植骨融合内固定术治疗腰椎布鲁氏菌性脊柱炎的临床疗效分析
【字体: 大 中 小 】 时间:2025年08月26日 来源:BMC Surgery 1.8
编辑推荐:
本研究针对腰椎布鲁氏菌性脊柱炎(BS)的治疗难题,通过回顾性分析45例接受一期后路病灶清除植骨融合内固定术患者的临床数据,证实该术式联合规范药物治疗可有效清除病灶、重建脊柱稳定性。结果显示术后VAS评分从6.42±1.14降至0.36±0.48(P<0.05),JOA评分提升至26.18±2.43,骨融合率达91.11%,为BS的规范化手术治疗提供了重要循证依据。
布鲁氏菌性脊柱炎(BS)作为布鲁氏病最严重的并发症之一,常导致椎间盘、椎体及椎旁肌的感染,伴随顽固性腰背痛和高达12%的神经功能损伤率。传统保守治疗对伴有神经压迫或脊柱不稳的患者效果有限,而手术方案选择存在争议——前路手术虽能彻底清除病灶但创伤大,单纯后路固定又可能遗留感染灶。这一临床困境促使宁夏医科大学总医院脊柱骨科团队开展创新性研究,通过45例患者的长期随访数据,验证了一期后路联合术式的安全性和有效性。
研究采用回顾性队列设计,纳入2010年1月至2025年2月收治的45例腰椎BS患者(年龄52.7±10.4岁)。关键技术包括:1)术前1-3周标准化抗菌治疗(利福平+多西环素+庆大霉素);2)术中通过单一切口完成椎板切除、神经减压、病灶清除及自体/异体骨移植;3)跨感染节段椎弓根钉棒系统固定。主要评估指标涵盖VAS、JOA、ASIA分级等临床参数,以及ESR(血沉)、CRP(C反应蛋白)、SAT(标准凝集试验)等实验室指标。
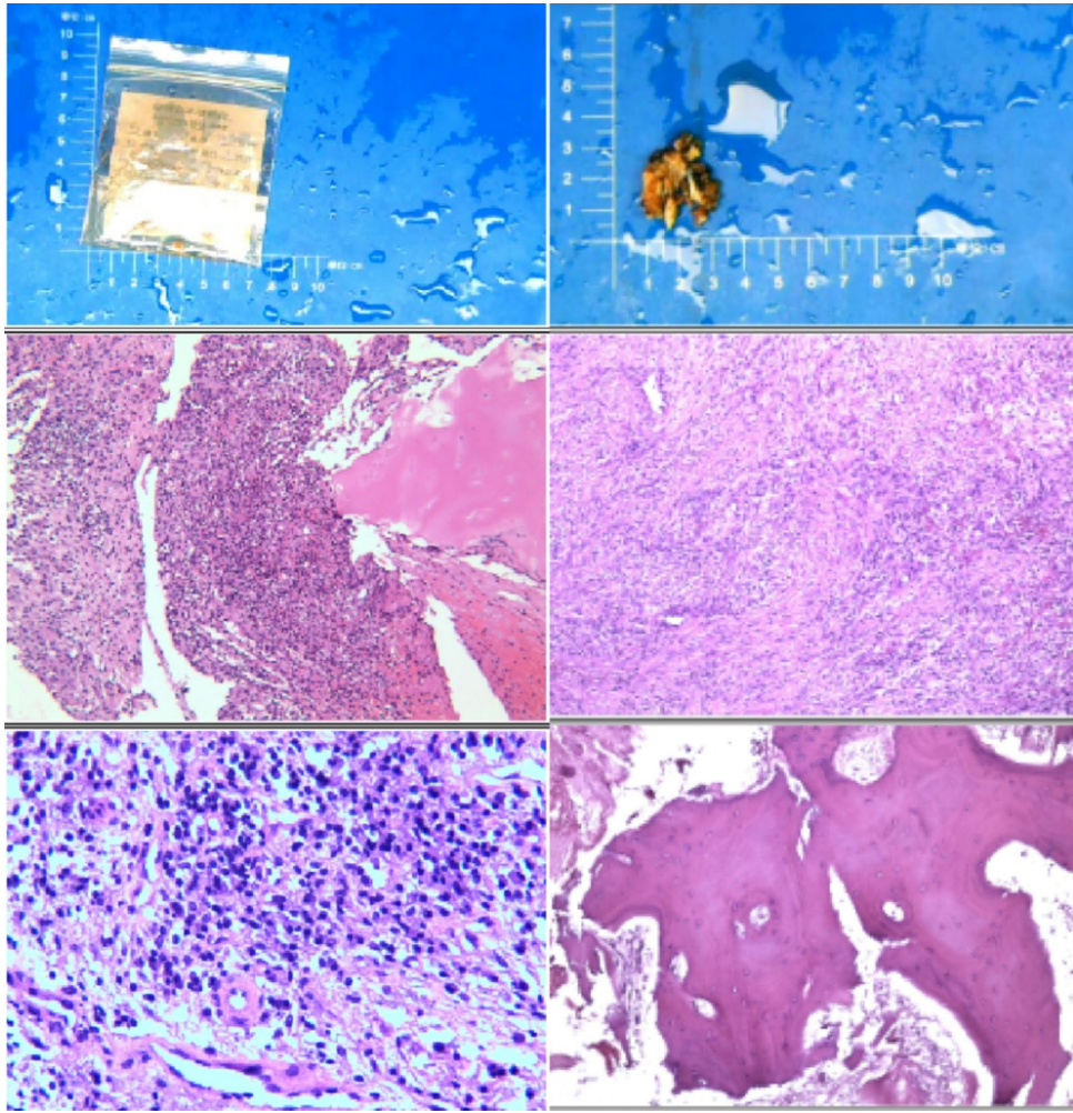
【临床疗效】术后24个月随访显示:VAS评分降幅达94.4%,JOA评分改善幅度93.3%,所有神经功能缺损患者恢复至ASIA E级。影像学参数中,Cobb角从术前22.0±5.94°矫正至10.37±2.02°(P<0.05),91.11%病例达到BridwellⅠ-Ⅱ级骨融合。典型病例影像显示:

【炎症控制】ESR和CRP在3个月内显著下降(P<0.001),24个月时所有患者SAT滴度<1:160。病理检查可见特征性改变:

【手术创新性】研究突破传统前后路联合手术模式,证实后路单一切口能同时实现三大目标:1)通过椎板开窗彻底清除椎间盘和软骨终板感染灶;2)借助椎弓根螺钉系统即时重建稳定性;3)保留前柱血供促进骨愈合。术后仅需2周卧床即可佩戴支具活动,大幅缩短康复周期。
该研究为BS手术方案选择提供了关键证据链:对于T12-S1节段单/双节段病变,一期后路术式具有创伤小、并发症少(本组零例内固定失败)、康复快的优势。作者Yanchuan Yang等特别强调术前抗生素"时间窗"控制(CRP下降>50%且<30 mg/L,ESR下降>40%且<50 mm/h)是确保手术安全的核心要素。研究成果发表于《BMC Surgery》,为 endemic areas(流行地区)的BS治疗建立了可推广的临床路径。
生物通微信公众号
知名企业招聘