
-
生物通官微
陪你抓住生命科技
跳动的脉搏
静脉输液港在永存左上腔静脉合并奇静脉变异患者中的植入:病例报告与临床启示
【字体: 大 中 小 】 时间:2025年08月26日 来源:BMC Surgery 1.8
编辑推荐:
本研究报道了一例73岁直肠癌术后化疗患者,在永存左上腔静脉(PLSVC)合并左侧奇静脉变异(右奇静脉缺如)的罕见解剖变异下,成功实施左侧胸壁输液港(TIVAP)植入。通过术前CT评估和术中血管造影确认变异血管,选择直径更大的PLSVC(9.8mm)作为导管通路,术后139天无并发症。该案例证实PLSVC合并奇静脉变异并非TIVAP禁忌,为类似罕见解剖条件下的静脉通路选择提供了重要参考。
在肿瘤化疗领域,完全植入式静脉输液港(TIVAP)因其长期耐用性和低并发症率成为优选方案。然而当遇到永存左上腔静脉(PLSVC)这种仅0.3-0.5%发生率的先天性静脉变异时,临床决策往往面临挑战——尤其是当合并更为罕见的奇静脉系统变异时,现有指南尚未给出明确指导。这种知识空白使得非心脏专科的肿瘤科或介入放射科医师在操作时可能陷入困境。
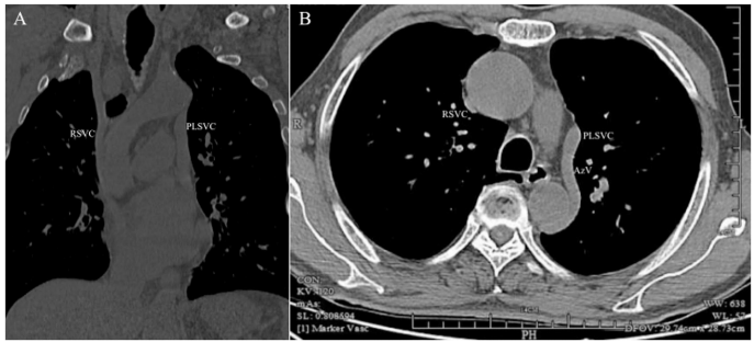
《BMC Surgery》最新发表的这项研究通过一例典型病例填补了这一空白。Li Zhang和Jingjin Wu*团队报道了73岁男性直肠癌(T4aN1bMx)患者术后化疗时,意外发现Ⅲb型PLSVC合并左侧奇静脉引流变异。术前CT三维重建显示右奇静脉缺如,左侧奇静脉汇入直径达9.8mm的PLSVC(较右侧SVC的3.3mm更粗)。通过左腋静脉(AxV)入路,术中使用血管造影确认解剖结构后,将导管尖端置于PLSVC远端,导管-静脉比仅18%,远低于45%的血栓风险阈值。
研究团队采用三个关键技术:1)术前胸部CT的解剖学评估;2)术中实时血管造影定位;3)超声引导下腋静脉穿刺。这些方法共同保障了在变异血管条件下的精准操作。
研究结果方面:
病例特征:患者存在Ⅲb型PLSVC(双上腔静脉无交通),合并左奇静脉引流变异,这种组合在既往TIVAP文献中未见报道。
影像学发现:CT冠状位显示左奇静脉沿降主动脉左侧上行,轴位证实其汇入PLSVC的独特走行。

手术决策:基于PLSVC更大的管径和更低的理论血栓风险,突破常规选择左侧入路。
随访数据:术后两个化疗周期及139天导管留置期间,超声监测未见锁骨下静脉/腋静脉(SCV/AxV)血栓形成。
讨论部分强调三个突破点:首先,这是首例明确记录PLSVC合并奇静脉变异对TIVAP植入影响的报告,提出奇静脉引流模式可能通过增加PLSVC管径而改善导管相容性。其次,推翻既往认为PLSVC是相对禁忌证的观点,证明只要满足导管-静脉比<45%且无其他畸形(如本例无心内分流),PLSVC同样是安全通路。最后,建立标准化评估流程:术前CT筛查→术中造影验证→术后超声监测,这对非心脏专科医师具有重要指导价值。
该研究的临床意义在于为罕见血管变异患者提供了可复制的解决方案。特别是发现左奇静脉引流可能通过增大PLSVC管径(本案例达9.8mm)创造更优植入条件,这一发现将促使临床更积极地评估变异血管的利用价值。未来研究可进一步探索不同PLSVC分型与TIVAP长期并发症的关系,以及奇静脉变异对导管尖端最佳位置的潜在影响。
生物通微信公众号
知名企业招聘