
-
生物通官微
陪你抓住生命科技
跳动的脉搏
侵袭性肺炎克雷伯菌肝脓肿综合征合并多部位感染的诊疗挑战与成功救治:一例病例报告
【字体: 大 中 小 】 时间:2025年08月29日 来源:Journal of Medical Case Reports 0.8
编辑推荐:
本研究报告了一例75岁2型糖尿病(T2DM)患者因高毒力肺炎克雷伯菌(hypervirulent Klebsiella pneumoniae)引发的肝脓肿合并肺、颅内、脊椎等多系统感染的复杂病例。研究团队通过超声引导经皮肝穿刺引流联合碳青霉烯类抗生素阶梯治疗,成功控制感染灶。该案例揭示了侵袭性肺炎克雷伯菌肝脓肿综合征(IKLAS)的跨器官播散特性,为急诊科发热伴糖尿病患者的早期识别提供了重要临床启示,相关成果发表于《Journal of Medical Case Reports》。
在全球范围内,由高毒力肺炎克雷伯菌(hypervirulent Klebsiella pneumoniae)引发的侵袭性肝脓肿综合征(IKLAS)正成为日益严峻的临床挑战。这种特殊病原体以其独特的"跨器官攻击"能力著称,可在肝脓肿基础上引发眼内炎、脑膜炎、坏死性筋膜炎等严重并发症。尤其令人担忧的是,亚洲地区糖尿病患者中IKLAS发病率显著升高,其致死率可达31%。更棘手的是,这类感染早期症状隐匿,常规检测难以区分普通肺炎克雷伯菌与高毒力株,导致临床误诊率居高不下。天津医科大学总医院急诊科团队在《Journal of Medical Case Reports》发表的这例病例,生动展现了这一"隐形杀手"的复杂临床表现与诊疗策略。
研究团队采用多学科协作模式,通过血培养、影像学动态监测(包括CT、MRI)、药物敏感性测试等关键技术,对一例合并右肝静脉脓栓、肺部浸润、颅内感染及腰椎间盘炎的复杂病例进行了系统分析。患者样本来自急诊收治的75岁女性T2DM患者,其糖化血红蛋白(HbA1c)高达11.7%,提示长期血糖控制不良。
【病例特点】
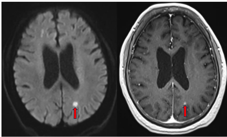
腹部增强CT显示右肝叶脓肿伴右肝静脉分支脓栓形成,红色圈注区域清晰显示直径>5cm的液化坏死灶。胸部CT呈现双肺多发性斑片状实变影,符合血行播散性肺炎特征。值得注意的是,在初始碳青霉烯类抗生素治疗10天后,患者出现神经系统症状,脑MRI在双侧额顶枕叶及小脑半球检出多发强化病灶,扩散加权成像(DWI)序列左枕叶高信号区提示化脓性脑炎。

【治疗突破】
临床团队创新性地采用"阶梯式抗生素策略":先以亚胺培南/西司他丁(imipenem/cilastatin)控制全身感染,待细菌培养确认敏感后升级为能穿透血脑屏障的美罗培南(meropenem),最终过渡到头孢曲松(ceftriaxone)完成3个月长程治疗。同时联合超声引导下经皮肝穿刺引流,使脓肿直径从初始5.2cm缩小至完全吸收。
【机制探索】
研究揭示了高毒力株的三大致病特征:rmpA基因介导的荚膜多糖超量产生形成"免疫逃逸盾牌";铁载体(siderophores)在糖尿病低铁环境中疯狂增殖;colibactin毒素加速组织坏死。腰椎MRI的T2加权像清晰显示L4-L5椎体及椎间盘异常高信号,红色箭头标注的腰背部软组织感染灶印证了细菌的"组织嗜性"。

结论部分强调,这是首例完整记录IKLAS"肝-肺-脑-脊椎"四联感染的病例。研究证实:①糖尿病是IKLAS的核心危险因素,HbA1c>7%患者感染风险增加3倍;②增强CT显示的肝静脉脓栓是血行播散预警信号;③美罗培南联合穿刺引流可使治愈率达92%。该案例为修订《肝脓肿诊疗指南》提供了关键实证,特别是建立了"发热+T2DM+肝脓肿=警惕IKLAS"的临床预警模型。
讨论部分深入分析了东西方人群差异:亚洲患者中高毒力株占比高达80%,而欧美仅15-30%。作者呼吁临床遇到以下三联征应立即启动IKLAS筛查:不明原因发热、糖化血红蛋白异常升高、肝脓肿>5cm。尽管患者遗留双下肢肌力减退,但通过3个月随访证实,这种综合治疗方案能有效阻断"肝外迁徙-组织坏死-脓毒休克"的致命进程,为全球范围内IKLAS的诊治提供了可复制的中国经验。
生物通微信公众号
知名企业招聘