
-
生物通官微
陪你抓住生命科技
跳动的脉搏
槲皮素对氯化钯诱导的内质网应激、炎症、氧化应激及肝肾组织凋亡的保护作用研究
【字体: 大 中 小 】 时间:2025年08月29日 来源:Microscopy and Microanalysis 3
编辑推荐:
本研究针对环境中广泛分布的钯颗粒潜在毒性问题,创新性地探讨了天然黄酮类化合物槲皮素(Que)对氯化钯(PdCl2)诱导的肝肾毒性的保护机制。通过28天大鼠实验发现,Que能显著改善PdCl2导致的氧化应激标志物MDA升高、抗氧化酶(SOD/CAT/GPx)活性下降,逆转内质网应激(ER stress)相关蛋白HSP70/GRP78表达,并抑制炎症因子IL-1β/IL-6和凋亡标志物caspase-3的激活。该研究为重金属毒性防治提供了新的植物活性成分干预策略,发表于《Microscopy and Microanalysis》。
随着铂族金属在汽车催化剂、牙科合金等领域的广泛应用,环境中的钯(Pd)污染日益严重。研究表明,可溶性钯盐如氯化钯(PdCl2)能通过产生活性氧(ROS)引发多器官毒性,但其具体机制尚未阐明。更棘手的是,目前缺乏针对钯毒性的有效干预手段。在这一背景下,土耳其加齐大学的研究团队将目光投向了天然抗氧化剂槲皮素(Quercetin, Que)——这种存在于果蔬中的黄酮类化合物以其卓越的自由基清除能力闻名,但其对钯诱导的器官损伤保护作用仍是空白。
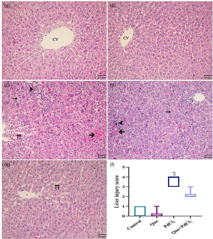
为破解这一科学问题,研究人员设计了一项系统的动物实验。他们选用24只雄性Wistar大鼠,分为对照组、Que单独处理组(30 mg/kg)、PdCl2暴露组(8 mg/kg)及Que+PdCl2联合处理组,通过28天灌胃给药建立亚急性毒性模型。研究团队采用多组学联用策略:通过全自动血液分析仪检测血常规参数,用比色法测定血清肝功能(ALT/AST)和肾功能(尿素/肌酐)指标;采用ELISA检测肝肾组织中炎症因子(IL-1β/IL-6)和DNA损伤标志物8-OHdG;借助qRT-PCR分析Nrf2、caspase-3等基因表达;结合HSP70/CHOP等蛋白的免疫组化定位以及H&E染色病理评估,全面解析毒性机制与干预效果。
体重与器官重量
尽管各组绝对脏器重量无统计学差异,但PdCl2组体重增长率显著降低至2.75%(对照组12.24%),而Que干预使增长率回升至5.68%。这一现象提示PdCl2可能通过干扰能量代谢抑制生长发育,而Que能部分缓解这种代谢紊乱。
氧化应激与抗氧化系统
研究数据揭示出典型的氧化应激特征:PdCl2组肝脏MDA(脂质过氧化标志物)水平激增2.1倍,伴随SOD、CAT等关键抗氧化酶活性下降40-50%。

炎症与内质网应激
免疫组化结果显示,PdCl2使肝脏HSP70和GRP78(内质网应激标志蛋白)表达量增加3-4倍,

组织病理学证据
H&E染色显示PdCl2组出现肝细胞空泡变性、肾小球萎缩等典型损伤,

这项研究首次系统揭示了PdCl2通过氧化应激-内质网应激-炎症级联反应导致肝肾损伤的分子机制,并证实槲皮素可通过多靶点协同作用缓解毒性:①直接清除ROS减轻氧化损伤;②激活Nrf2通路增强细胞防御;③抑制CHOP/caspase-3通路减少凋亡;④下调TNF-α/IL-6缓解炎症风暴。该发现不仅为职业钯暴露防护提供了潜在解决方案,更拓展了植物活性成分在重金属解毒领域的应用前景。研究者特别指出,槲皮素作为膳食补充剂的安全性优势,使其具有显著的转化医学价值。未来研究可进一步探索槲皮素结构修饰产物或与其他抗氧化剂的协同效应,以优化干预策略。
生物通微信公众号
知名企业招聘