
-
生物通官微
陪你抓住生命科技
跳动的脉搏
乙状结肠扭转揭示隐匿性血吸虫病:病例报告与文献综述
【字体: 大 中 小 】 时间:2025年08月30日 来源:Journal of Surgical Case Reports 0.5
编辑推荐:
本研究报道了一例罕见的乙状结肠扭转(Sigmoid volvulus)病例,意外发现患者存在慢性曼氏血吸虫(Schistosoma mansoni)感染。通过影像学检查、手术切除及病理学分析,证实了两种疾病的罕见共存关系,强调了在非流行区移民人群中筛查寄生虫感染的重要性。研究结果为临床医生提供了重要警示——对来自流行区的患者需保持高度警惕,及时进行组织病理学诊断和吡喹酮(Praziquantel)治疗。
在肠道急症诊疗领域,乙状结肠扭转(Sigmoid volvulus)作为肠梗阻的罕见病因,通常与老年患者的解剖异常或神经系统疾病相关。然而,当这种急症与热带寄生虫病——血吸虫病(Schistosomiasis)同时出现时,其临床意义便超越了单纯的机械性梗阻。来自突尼斯的Faten Limaiem团队在《Journal of Surgical Case Reports》报道的这个特殊病例,揭示了全球人口流动背景下疾病谱的新变化。
研究背景凸显了两个关键问题:一是乙状结肠扭转在年轻患者中的非典型表现,二是血吸虫病在非流行区的诊断挑战。该22岁几内亚移民的病例特别值得关注,因为其年龄远低于乙状结肠扭转的平均发病年龄(70岁),且无典型危险因素。更引人深思的是,手术切除的结肠组织经病理检查意外发现大量血吸虫卵,这一"意外收获"促使研究者深入探讨两种疾病可能的关联机制。
研究方法包含四个关键环节:
临床评估:通过腹部CT扫描确认"咖啡豆征"(coffee bean sign)和"肠系膜涡旋征"(mesenteric whirl sign)等典型影像学特征
急诊手术:采用Bouilly-Volkmann技术进行乙状结肠切除及双腔造口
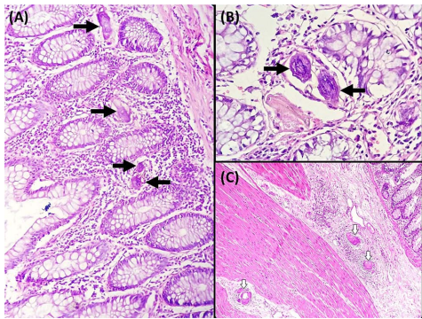
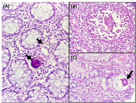
病理分析:对30cm长的切除标本进行组织学检查,重点观察黏膜下层和肌层的寄生虫卵沉积
实验室确诊:通过粪便检测验证曼氏血吸虫(S. mansoni)感染
研究结果部分呈现了多层次发现:
【影像学特征】
CT扫描显示直径达10cm的扩张肠袢,伴有特征性黏膜皱襞消失。这些发现与急性闭袢性肠梗阻的典型表现相符,为紧急手术决策提供了依据。

【手术发现】
术中发现乙状结肠冗长(Dolichosigmoid)伴肠系膜轴扭转,这种解剖变异可能是年轻患者发病的结构基础。手术标本重达491g,肉眼可见黏膜充血、水肿及出血点。

【病理学突破】
显微镜下观察到三种特征性改变:
卵圆形和长条形血吸虫卵周围环绕多形性炎症浸润
黏膜下层和肌层广泛的外源性肉芽肿形成
慢性病变包括嗜酸性微脓肿和钙化虫卵

讨论部分通过文献回顾指出,这是全球第7例经证实的乙状结肠扭转合并血吸虫病病例。虽然两者因果关系尚未明确,但研究者提出两种可能机制:血吸虫感染导致的肠壁纤维化可能增加扭转风险;或冗长结肠的扭转意外暴露了无症状的寄生虫感染。该案例特别强调了对移民人群的三点临床启示:
诊断策略:在非流行区,来自非洲、南美等地的患者出现肠道症状时,应考虑寄生虫感染可能
病理学价值:即使大体标本未见异常,也应常规进行组织学检查
治疗原则:手术解除梗阻后必须配合抗寄生虫治疗(吡喹酮40mg/kg单剂)
这项研究的意义超越了单个病例报告,它构建了一个"急诊手术-病理诊断-溯源治疗"的整合诊疗模式。随着国际人口流动加剧,此类"热带病北上"现象将日益常见,要求临床医生拓展疾病认知边界。病理学家在此过程中扮演着"侦探"角色,通过显微镜下的虫卵发现,揭开了隐藏在急症背后的慢性感染真相。

研究最终结论强调,在全球化医疗背景下,外科医生与病理科医生的协作尤为关键。对于所有来自血吸虫流行区的肠梗阻患者,无论年龄大小或症状是否典型,都应将组织病理学检查列为标准流程。这种"一石二鸟"的诊断策略既能解决急性梗阻,又能发现潜在感染,避免漏诊导致的长期后遗症。
生物通微信公众号
知名企业招聘