
-
生物通官微
陪你抓住生命科技
跳动的脉搏
光片显微镜活细胞成像技术在乳腺类器官动态形态发生研究中的应用
【字体: 大 中 小 】 时间:2025年09月02日 来源:Journal of Mammary Gland Biology and Neoplasia 3.6
编辑推荐:
本研究针对乳腺腺体发育与重塑过程中动态变化的观测难题,开发了基于光片荧光显微镜(LSFM)的乳腺类器官(MGOs)活体成像方案。研究人员通过优化3D培养体系,结合多视角和倒置两种光片显微镜配置,实现了对EKAREV-NLS转基因小鼠乳腺类器官分支形态发生过程的长期低光毒观测,为研究激素信号通路(如FGF2)与细胞行为动态提供了高时空分辨率的技术平台。该方案突破传统显微技术的局限性,为乳腺发育生物学和肿瘤微环境研究建立了标准化操作流程。
乳腺作为具有独特动态特性的器官,其复杂的导管网络在青春期和动情周期中经历剧烈的形态重塑。这些过程与多种乳腺疾病的发病机制密切相关,但传统二维培养和宽场显微技术难以真实再现三维微环境中的细胞行为。更棘手的是,长时间观测时激光引起的光毒性会显著影响类器官的生理状态。这些技术瓶颈严重制约了人们对乳腺发育和肿瘤发生过程中时空动态变化的理解。
为解决这些问题,Matea Brezak团队在《Journal of Mammary Gland Biology and Neoplasia》发表的研究中,建立了一套完整的乳腺类器官培养与光片显微镜(LSFM)成像整合方案。研究采用携带核定位EKAREV-NLS生物传感器的转基因小鼠模型,通过优化细胞外基质(ECM)组成和培养条件,实现了类器官在体外对体内分支形态发生过程的高度模拟。更重要的是,团队创新性地开发了适用于多视角和倒置光片显微镜的样本固定方法,在保证样本存活的同时获得长达72小时的高质量时序图像。
关键技术方法包括:1)从B6-Tg(EKAREV)pT2A-3905NLS转基因小鼠分离原代乳腺上皮片段;2)建立血清free冻存方案保持类器官活性;3)开发基于FEP管/槽的两种光片显微镜适配系统;4)应用SPY650-FastAct染料标记细胞骨架动态;5)通过多角度采集和图像后处理提高三维重构精度。所有实验均在37°C、5% CO2的严格环境控制下完成。
【Organoid acquisition and culture】
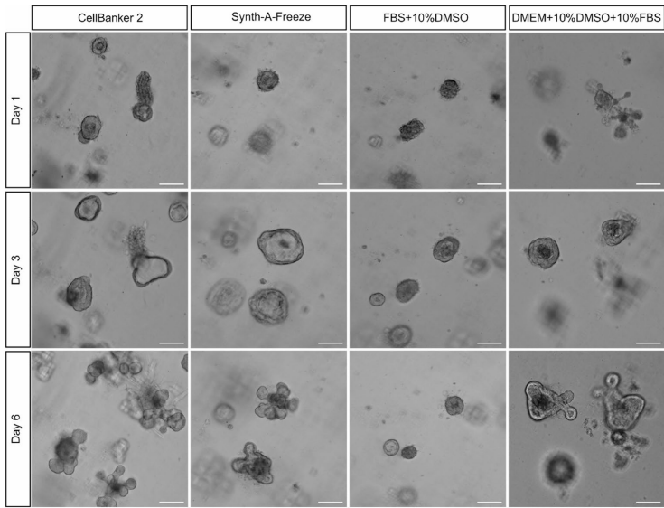
研究详细比较了上皮片段来源与单细胞来源类器官的培养差异。通过差异离心法分离的乳腺上皮片段在含胶原酶/胰蛋白酶的消化液中处理30分钟后,可获得保持细胞极性结构的类器官。实验数据显示,采用无血清冻存介质Synth-A-Freeze保存的类器官解冻后仍能维持正常形态发生能力,在含2.5 nM FGF2的培养基中培养6天后可形成典型分支结构。

【Organoid mounting for a multiview LSM】
针对多视角光片显微镜,团队开发了独特的FEP管片段固定技术。将类器官包埋于Matrigel/collagen I混合基质后,装入内径1.3 mm的FEP管片段,通过双层ECM封装确保样本稳定性。该方法使样本在成像室内保持直立姿态,支持多角度采集且光毒性显著低于共聚焦显微镜。实验证明该配置可连续18小时捕捉EKAREV-NLS的CFP/YFP荧光信号动态。
【Organoid mounting for inverted LSM】
为适应倒置光片显微镜的几何特性,研究优化了V型FEP槽的样本装载方案。通过胶原酶消化去除多余ECM后,将单细胞来源的小型类器官重悬于新鲜基质,沿V槽底部线性排布。这种设计使激发光片能有效穿透样本,配合0.025 mm超薄FEP膜,可获得20μm分辨率的三维重构图像。如图5a所示,该方法成功记录了H2B-mCherry标记的核动态与actin细胞骨架重组过程。

研究结论部分强调,这套标准化方案首次系统解决了乳腺类器官长期活体成像的技术难题。通过精确控制ECM硬度(15 mg/mL BME + 1.5 mg/mL collagen I)和环境参数,实现了对分支形态发生过程的定量分析。特别值得注意的是,倒置光片配置的V型槽设计使实验通量提升6倍,可同步比较不同生长因子刺激下的细胞响应。这些技术创新为研究激素信号(如FGF2)、细胞力学微环境与乳腺发育的关系提供了全新工具,也为乳腺癌发生机制研究开辟了新的途径。
讨论中指出,当前方案仍存在光片厚度(约5μm)与大型类器官成像的兼容性问题。未来通过结合晶格光片技术,有望进一步延长观测时长并提高z轴分辨率。该工作建立的冷冻保存体系使珍贵转基因模型得以长期保存,其方法论意义已超越乳腺研究领域,为其他器官类器官的动态成像研究提供了重要参考。
生物通微信公众号
知名企业招聘