
-
生物通官微
陪你抓住生命科技
跳动的脉搏
深度学习重建技术在脑部MRI"魔法三角"优化中的应用价值研究
【字体: 大 中 小 】 时间:2025年09月02日 来源:Egyptian Journal of Radiology and Nuclear Medicine 0.5
编辑推荐:
本研究针对脑部磁共振成像(MRI)扫描时间长、信噪比(SNR)与分辨率难以兼顾的临床难题,创新性地采用深度学习(DL)重建技术,通过对比传统MRI与DL重建图像的定量(SNR)和定性评估,证实DL技术可在将扫描时间缩短54%(从13分钟降至6分钟)的同时,显著提升FLAIR序列SNR至281.17±92.71(p<0.001),实现时间-分辨率-信噪比的"魔法三角"优化,为急诊MRI检查提供高效解决方案。
在神经影像诊断领域,脑部磁共振成像(MRI)犹如一把"双刃剑"——虽然它能清晰呈现脑组织结构和病变特征,但漫长的扫描时间让急诊患者望而却步。传统MRI面临着一个不可能三角困境:想要提高信噪比(SNR)就需要延长扫描时间,而缩短时间又会导致图像质量下降。这种矛盾在脑卒中等急症救治中尤为突出,每分钟的延误都可能影响患者预后。
为破解这一难题,Fatma Mohamed Sherif团队在《Egyptian Journal of Radiology and Nuclear Medicine》发表的研究,将人工智能领域炙手可热的深度学习(DL)技术引入MRI重建过程。研究人员构想:能否像智能手机的夜景模式那样,通过算法补偿缩短扫描时间带来的质量损失?这种基于U-Net卷积神经网络的DL架构,此前已通过海量不同厂商、场强的MRI数据训练,具备从低分辨率图像中"想象"出高分辨率细节的能力。
研究采用回顾性对照设计,将50例患者分为传统MRI组和DL重建组。技术核心在于两组采用相同扫描参数(1.5T磁共振,16通道头线圈),但DL组将信号平均次数(NEX)从2降至1、矩阵从320×256缩减至320×160,再通过Subtle MR软件进行图像增强。这种"先减后增"的策略,既保留了原始解剖信息采集,又通过算法补偿了参数缩减带来的质量损失。
主要技术方法
1.5T MR扫描仪(Signa Explorer)采集标准序列与快速原始序列;采用Subtle MR v1.2软件(基于U-Net神经网络)进行图像重建;定量分析通过ROI测量基底节区灰质、额叶白质SNR;两名资深神经放射科医师采用5级Likert量表进行盲法评估;统计采用SPSS 18进行ANOVA和Kappa检验。
定量评估结果
DL重建图像在所有序列均展现显著SNR优势(p<0.005),其中FLAIR序列表现最为突出:DL重建组SNR达281.17±92.71,较标准图像(119.79±19.33)提升135%,较原始快速序列(104.42±24.04)提升169%。T1加权像的基底节区SNR从85.43±15.99提升至99.91±24.09,白质SNR从91.05±15.52增至109.62±25.55。这种提升并非以时间为代价——DL组总扫描时间从13分钟压缩至6分钟,降幅达54%。
定性评估结果
两位评审专家对DL重建图像给出近乎完美的一致性评价(K>0.7)。在解剖细节、整体质量、诊断信心和伪影控制四个维度,DL重建图像均显著优于传统图像(p<0.001)。特别值得注意的是,所有DL重建图像均未出现"无法诊断"(1分)或"诊断价值低"(2分)的评价,而88%的FLAIR序列获得最高5分评级,这在常规MRI中极为罕见。

典型病例对比
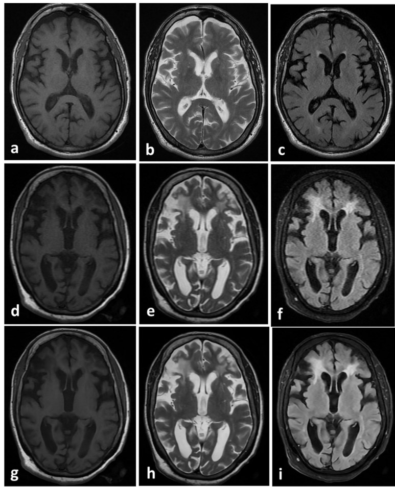
如图2所示,60岁正常受试者的DL重建T1、T2、FLAIR图像,在保留全部解剖细节的同时,白质-灰质对比度明显增强。更令人惊喜的是图3展示的66岁脑缺血患者案例,DL重建不仅清晰显示脑沟增宽和脑室旁慢性缺血灶,还改善了传统MRI常见的脑脊液搏动伪影。
研究结论表明,DL重建技术成功实现了脑部MRI的"魔法三角"突破:
时间维度:扫描时间缩短54%,大幅提升检查 throughput
质量维度:FLAIR序列SNR提升2.35倍,T2序列达1.7倍
分辨率维度:320×160矩阵经重建后达到诊断级320×256效果
这项研究的临床意义不仅体现在急诊场景的时间节约,更开创了1.5T设备通过算法获得媲美3T图像质量的新路径。研究者特别指出,DL重建避免了3T MRI常见的磁敏感伪影和患者发热问题,这对植入物患者和儿童群体尤为重要。未来研究方向包括扩大样本量、验证不同病灶类型的检测效能,以及探索该技术在功能MRI中的应用潜力。


生物通微信公众号
知名企业招聘