
-
生物通官微
陪你抓住生命科技
跳动的脉搏
基于CT血管成像的死亡冠静脉分型新方法及解剖变异特征研究
【字体: 大 中 小 】 时间:2025年09月02日 来源:Scientific Reports 3.9
编辑推荐:
本研究通过719例盆腔CT血管造影数据,系统分析了死亡冠(CMOR)的解剖变异特征,首次提出静脉死亡冠(VCMOR)的14种解剖构型新分类法。研究发现73.44%患者存在CMOR变异,其中静脉型占比68.43%且构型复杂,为盆腔手术避免致命性出血提供了重要解剖学依据。
在骨盆外科手术中,存在一个被称为"死亡之冠"(corona mortis, CMOR)的危险解剖结构。这个听起来颇具戏剧性的名称源于其潜在的致命风险——当闭孔血管异常起源于髂外血管系统时,会以垂直走向跨越耻骨支,在骨折或手术操作中极易受损导致难以控制的大出血。尽管医学界早已认识到CMOR的危险性,但现有研究存在三个关键局限:样本多来自尸体解剖,与活体差异显著;对异常闭孔静脉(VCMOR)的研究严重不足;静脉分支构型缺乏系统分类。
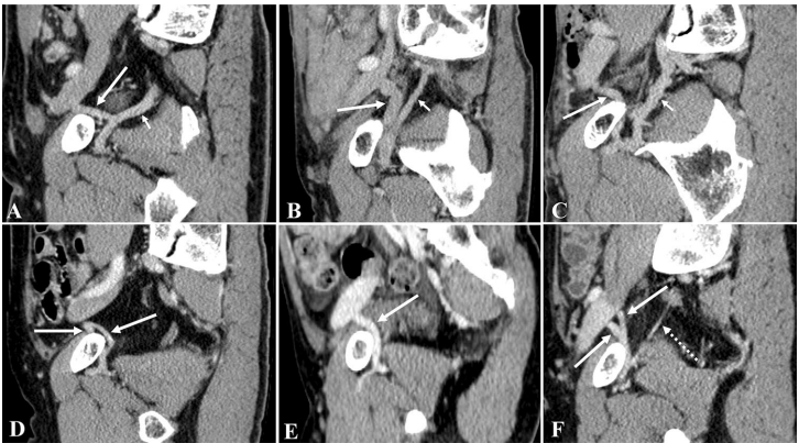
为突破这些局限,张静、黄俊林等研究团队在《Scientific Reports》发表了这项基于CT血管成像的大样本研究。研究人员收集了2018-2024年间719例(1438侧)接受全腹/盆腔CT检查患者的影像数据,采用GE 64排CT进行动脉期和门静脉期双期扫描,通过多平面重建(MPR)、最大密度投影(MIP)和容积再现(VR)等技术,由两位资深放射科医师独立评估CMOR的发病率、血管直径、解剖构型等指标。研究特别建立了标准化的命名体系:异常闭孔动脉(AOA)、异常闭孔静脉(AOV)、血管吻合(VA)等术语均明确定义,并创新性地采用"异常血管+吻合方式+正常血管"的复合命名法。
研究结果揭示了一系列重要发现:
基本临床数据与总体发病率
在719例患者中,CMOR总体检出率高达73.44%,显著高于既往报道。女性发病率(77.42%)高于男性(69.84%),双侧变异(47.28%)远多于单侧。平均髂臼间距为200.47±10.52 mm,与性别无关。
动脉死亡冠(ACMOR)的发病率与解剖构型
ACMOR检出率为23.92%,按起源和吻合方式可分为四型:I型(92.98%)起源于腹壁下动脉(IEA);II型(5.70%)为(AOA+OA)共干;III型(0.44%)直接起自髂外动脉(EIA);IV型(0.88%)为耻骨支血管。ACMOR距耻骨联合平均距离56.61 mm,女性(62.18 mm)显著大于男性(50.37 mm)。
静脉死亡冠(VCMOR)的发病率与解剖构型
这项研究最突出的贡献在于对VCMOR的系统分类。68.43%患者存在VCMOR,共识别出14种解剖构型,根据髂内外静脉系统间是否存在血管吻合分为两大类型:无血管吻合型(20.75%)包含5种亚型,以单纯AOV最常见(61.45%);存在血管吻合型(79.25%)包含8种亚型,其中AOV+VA+OV构型占比高达81.39%。研究首次发现VCMOR存在三种回流路径:直接汇入髂外静脉(EIV)占主流(756侧),与腹壁下静脉(IEV)共同汇入(83侧),以及单独汇入IEV(16侧)。
动静脉复合型死亡冠
17.39%病例同时存在ACMOR和VCMOR,右侧发生率显著高于左侧。值得注意的是,79.07%的ACMOR患者伴有VCMOR,提示临床发现动脉变异时应高度警惕静脉变异。
这项研究通过大样本CT血管成像数据,首次全面揭示了CMOR的变异谱系,特别是建立了VCMOR的系统分类体系。其临床价值主要体现在三个方面:提出的新分类法能更精准预测手术风险区域——当存在血管吻合时,风险范围需同时涵盖髂内外血管系统;证实女性骨盆手术更需注意血管变异;为术前CT评估提供了标准化测量参数。研究结果将直接指导骨盆骨折修复、疝修补等手术的路径选择,对降低医源性出血并发症具有重要实践意义。



生物通微信公众号
知名企业招聘