
-
生物通官微
陪你抓住生命科技
跳动的脉搏
益生菌发酵葱蒜提取物对鸡源多重耐药变形杆菌和大肠杆菌的抗菌效应研究
【字体: 大 中 小 】 时间:2025年09月03日 来源:Poultry Science and Management
编辑推荐:
本研究针对家禽养殖中多重耐药(MDR)的Proteus mirabilis和Escherichia coli感染问题,通过发酵葱(Allium ascalonicum)和韭菜(Allium tuberosum)提取物,结合益生菌Lactobacillus plantarum 1582和Bacillus subtilis BSn5的协同作用,证实发酵韭菜提取物(FGC)对携带Stx1/ZapA毒力基因的病原菌具有显著抑制效果(MIC低至0.98 mg/mL)。该研究为替代抗生素提供了新型天然解决方案,对可持续家禽生产具有重要意义。
研究背景与意义
在家禽养殖业中,抗生素滥用导致的细菌耐药性已成为全球性危机。Gram阴性菌Proteus mirabilis和Escherichia coli作为鸡群腹泻和败血症的主要病原体,其携带Stx1/ZapA毒力基因的菌株对β-内酰胺类、大环内酯类等常用抗生素普遍耐药。传统抗生素治疗不仅效果受限,更可能通过食物链威胁人类健康。寻找安全有效的天然替代品迫在眉睫。
Allium属植物(如葱、韭菜)富含的有机硫化合物(如蒜素allicin)和类黄酮已被证实具有抗菌潜力,但其刺激性气味和低生物利用度限制了应用。Phan Vu Hai团队创新性地采用益生菌发酵技术,利用Lactobacillus plantarum和Bacillus subtilis的代谢活性,既提升了提取物的抗菌效能,又改善了适口性。这项发表于《Poultry Science and Management》的研究,为家禽无抗养殖提供了重要理论依据。
关键技术方法
研究团队从越南顺化省35份病鸡粪便样本中分离出21株Proteus spp.和25株E. coli,通过16S rRNA测序和毒力基因PCR筛选出5株P. mirabilis和4株携带Stx1的E. coli。采用L. plantarum 1582和B. subtilis BSn5发酵葱(FS)和韭菜(FGC)提取物,通过微孔板稀释法测定MIC/MBC,结合HPLC分析活性成分(蒜素、硫醇、总酚)。动物实验采用3日龄雏鸡口服攻毒模型评估病原性。
研究结果
1. 病原菌特征与耐药性
通过16S rRNA基因测序鉴定的P. mirabilis MPE4069(GenBank CP053718.1)和E. coli EGI30(GenBank MN704402.1)均呈现多重耐药特性:
对阿莫西林耐药率100%
头孢噻肼耐药率66.7%
螺旋霉素耐药率75%
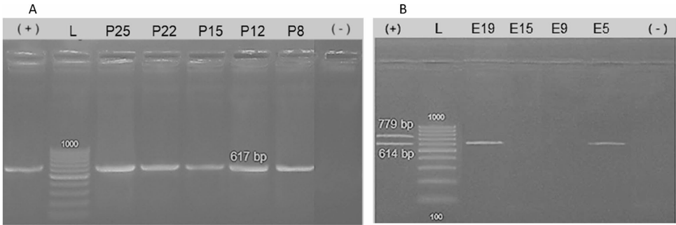
值得注意的是,所有致病性E. coli均携带Stx1基因(PCR扩增614 bp产物),而40%的P. mirabilis检出ZapA毒力基因(617 bp产物)。

2. 发酵提取物的成分优势
HPLC分析显示,FGC的活性成分显著高于FS:
蒜素含量:51.73 μM vs 43.07 μM (P<0.05)
总酚含量:0.43 mg GAE/g vs 0.33 mg GAE/g
硫醇化合物:81.07 μM vs 69.73 μM
这种差异直接关联到后续的抗菌效果。

3. 抗菌效能评估
抑菌圈实验显示FGC对P. mirabilis MPE0027的抑制直径达17.4 mm,显著优于FS(15.5 mm)。MIC/MBC测定揭示:
对P. mirabilis:FGC的MIC低至0.98 mg/mL,MBC/MIC=2(显示杀菌效应)
对E. coli EGI30:FGC的MIC为0.98 mg/mL,是FS的1/125
值得注意的是,MBC/MIC比值均≤4,符合CLSI对杀菌剂的界定标准。

结论与展望
该研究证实:
益生菌发酵显著提升葱蒜提取物的抗菌活性,尤其FGC对MDR菌株的抑制效果优于常规抗生素;
抗菌效能与硫化合物含量呈正相关,蒜素和硫醇可能是关键活性物质;
动物实验证实发酵提取物能有效控制致病性E. coli和P. mirabilis引发的腹泻。
这项研究首次系统评估了发酵Allium植物对禽源耐药菌的抑制作用,其创新点在于:
采用本土分离的益生菌株(L. plantarum 1582)适配越南养殖环境
通过发酵工艺解决植物提取物的适口性问题
建立MIC/MBC与活性成分的量化关系
未来研究可进一步优化发酵参数,并评估提取物对肠道菌群平衡的影响。该成果为开发"无抗养殖"功能性饲料添加剂提供了重要技术路径。
生物通微信公众号
知名企业招聘