
-
生物通官微
陪你抓住生命科技
跳动的脉搏
犬弓首蛔虫感染与癫痫发作的潜在关联:基于大鼠模型的神经病理学与神经递质机制研究
【字体: 大 中 小 】 时间:2025年09月05日 来源:Parasitology Research 2
编辑推荐:
本研究针对犬弓首蛔虫(Toxocara canis)感染与癫痫的争议性关联,通过大鼠模型首次证实幼虫中枢神经系统迁移可诱发癫痫样发作。研究人员结合组织病理学、免疫组化(GFAP、TNF-α)和生化分析(MMP-2、GABA/GLU失衡),揭示幼虫侵袭导致血脑屏障破坏、胶质增生及氧化应激(MDA↑/SOD↓)的致病机制,为寄生虫源性癫痫提供直接实验证据。发表于《Parasitology Research》的这项研究为开发神经保护策略奠定基础。
犬弓首蛔虫如何引爆大脑"电风暴"?——一项揭示寄生虫感染与癫痫关联的突破性研究
在热带地区的土壤中,犬弓首蛔虫(Toxocara canis)的卵悄无声息地威胁着人类健康。这种通过宠物粪便传播的寄生虫,每年导致全球数亿人感染,在埃及部分地区感染率高达29.87%。更令人担忧的是,越来越多的流行病学研究发现,这种寄生虫感染可能与癫痫发作存在神秘关联——但究竟是寄生虫引发了大脑"电路短路",还是癫痫患者更容易感染寄生虫?这个"鸡生蛋还是蛋生鸡"的问题困扰了科学界十余年。
以往的研究存在三大瓶颈:首先,医院病例研究无法排除"反向因果关系";其次,不同检测方法(ELISA或Western blot)造成数据差异;更重要的是,缺乏直接证明寄生虫入侵中枢神经系统(CNS)致病机制的实验证据。正是这些未解之谜,促使Tanta大学的研究团队开展了这项开创性的动物实验研究。
研究人员设计了三组对照实验:正常对照组、癫痫阳性对照组(匹罗卡品诱导)、以及犬弓首蛔虫感染组。通过30天的系统观察,结合 Racine癫痫分级标准、幼虫回收技术、脑组织病理学分析、免疫组化标记(GFAP、TNF-α)以及神经递质检测(GABA、谷氨酸)等多维度方法,首次在动物模型中证实了寄生虫感染可直接导致癫痫样发作。
关键实验技术
研究采用24只瑞士白化大鼠,分为对照组、匹罗卡品诱导组和犬弓首蛔虫感染组(每组n=8)。通过腹腔注射匹罗卡品(400 mg/kg)建立癫痫模型,口服灌胃接种5000枚犬弓首蛔虫卵建立感染模型。采用ELISA检测血清氧化应激指标(MDA、SOD、IL-6)和脑组织MMP-2、GABA及谷氨酸水平。脑组织经H&E染色评估病理改变,免疫组化分析GFAP和TNF-α表达。统计采用SPSS 22.0进行ANOVA分析。
研究结果
临床观察
所有感染组大鼠在10-15天后均出现运动性癫痫发作,其发作强度(Racine 3.38±1.06级)、持续时间(58.5±14.41秒)和发作频率(10.62±1.77次)与匹罗卡品组无显著差异(P>0.05)。这一发现首次在受控实验中证实寄生虫感染可独立诱发癫痫样发作。
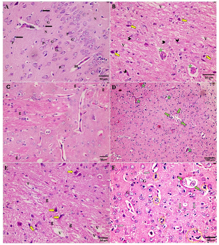
幼虫负荷与病理改变
脑组织压片检测显示,感染组全部大鼠脑内均存在幼虫(232.37±56.80条)。H&E染色揭示:
皮层血管扩张充血
锥体细胞核固缩
神经毡空泡化
胶质细胞斑块形成

值得注意的是,尽管观察到幼虫横切面,但未形成肉芽肿反应,提示幼虫可能通过"分子模拟"逃避免疫识别。
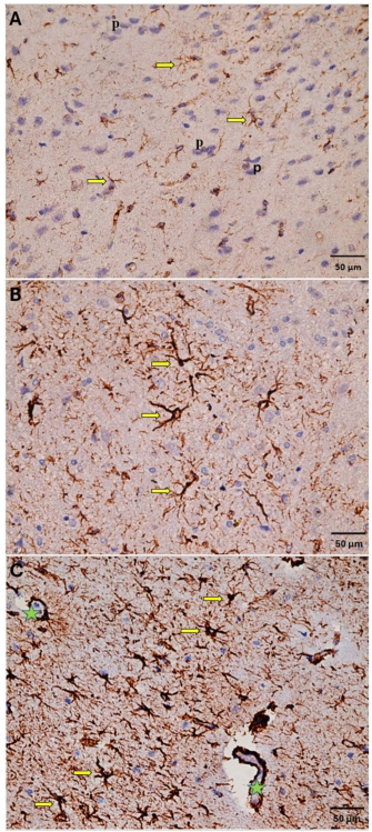
免疫组化分析
GFAP(胶质纤维酸性蛋白)表达在感染组显著上调,表现为星形胶质细胞突起增粗、延长,围绕血管形成密集网络。TNF-α在胶质细胞和血管周围呈现强阳性反应,与匹罗卡品组相当(P=0.449)。

生化指标变化
氧化应激:血清MDA(47.99±2.36 nmol/ml)显著升高,SOD(28.98±3.02 U/ml)降低
炎症反应:IL-6水平(196.76±2.37 pg/mL)激增
细胞外基质重塑:脑组织MMP-2(101.26±4.91 ng/mg)异常升高
神经递质失衡:抑制性GABA(31.53±4.37 pg/mg)降低,兴奋性谷氨酸(20.57±1.50 ng/mg)升高
研究结论与意义
这项研究首次在动物模型中证实:犬弓首蛔虫幼虫通过血脑屏障侵入CNS后,可引发与化学诱导癫痫相当的发作症状。其致病机制涉及三重打击:
结构破坏:幼虫迁移直接损伤神经元,MMP-2介导血脑屏障破坏
神经炎症:GFAP+星形胶质细胞活化,TNF-α和IL-6促发炎症级联反应
电生理失衡:GABA能抑制减弱,谷氨酸能兴奋增强
该研究为"寄生虫-癫痫"假说提供了首个实验性证据,其价值体现在:
临床层面:建议将顽固性癫痫患者的寄生虫筛查纳入诊疗常规
科研层面:发现MMP-2和GFAP可作为神经损伤的生物标志物
公共卫生:强调宠物驱虫和土壤卫生管理对癫痫预防的重要性
正如研究者指出,这项发现为开发针对神经寄生虫病的联合疗法(如抗寄生虫药联合抗氧化剂)提供了理论依据。未来研究可进一步探索幼虫分泌的TES抗原如何特异性干扰神经递质系统,为精准治疗开辟新途径。
生物通微信公众号
知名企业招聘