
-
生物通官微
陪你抓住生命科技
跳动的脉搏
基于CT影像组学的ADPKD肾功能评估新方法:一项预测疾病进展的突破性研究
【字体: 大 中 小 】 时间:2025年09月05日 来源:Clinical Kidney Journal 4.6
编辑推荐:
本研究针对常染色体显性多囊肾病(ADPKD)的临床管理难题,开发了一种基于CT影像组学的新型预测模型。研究人员通过提取217个肾脏影像特征,发现纹理特征F_cm.corr能有效区分快速进展患者(AUC=0.78),其预测性能优于传统肾脏体积指标(ht-TKV)。这项发表在《Clinical Kidney Journal》的研究为ADPKD患者的精准分层和治疗决策提供了创新性影像学生物标志物。
常染色体显性多囊肾病(ADPKD)作为最常见的遗传性肾病,约70%患者会在56岁左右进展至终末期肾病(ESKD)。虽然总肾脏体积(TKV)已被FDA和EMA认可为预后标志物,但现有Mayo影像分类(MIC)的预测效能仍有提升空间。当肾脏囊肿逐渐取代正常肾实质时,纤维化和炎症微环境成为疾病进展的关键推手。这种复杂的病理变化能否通过影像学特征量化?来自意大利的研究团队给出了创新性解决方案。
研究团队采用CT影像组学技术,从58例ADPKD患者的肾脏CT图像中提取217个定量特征。通过3D Slicer软件手动分割肾脏实质区域,使用MODDICOM工具包进行特征提取,并建立预测模型。特别值得注意的是,51例具有≥3次肌酐检测的患者被用于评估肾功能下降速率,其中26例被定义为快速进展者(eGFR年下降>3 mL/min/1.73 m2)。
基线肾功能评估
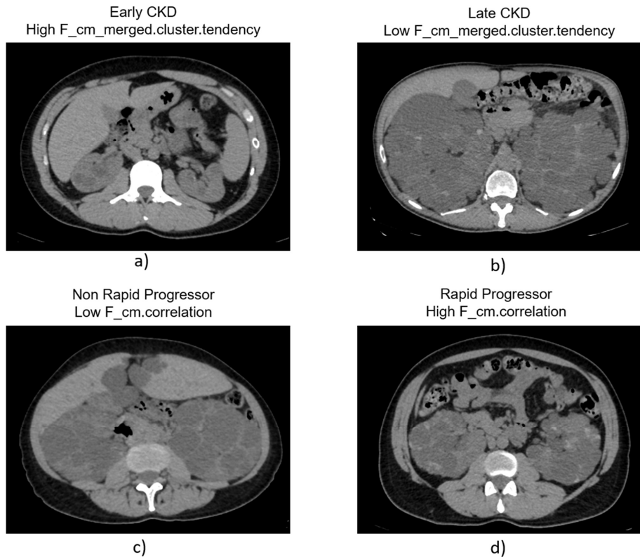
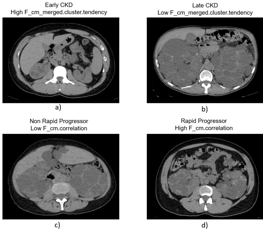
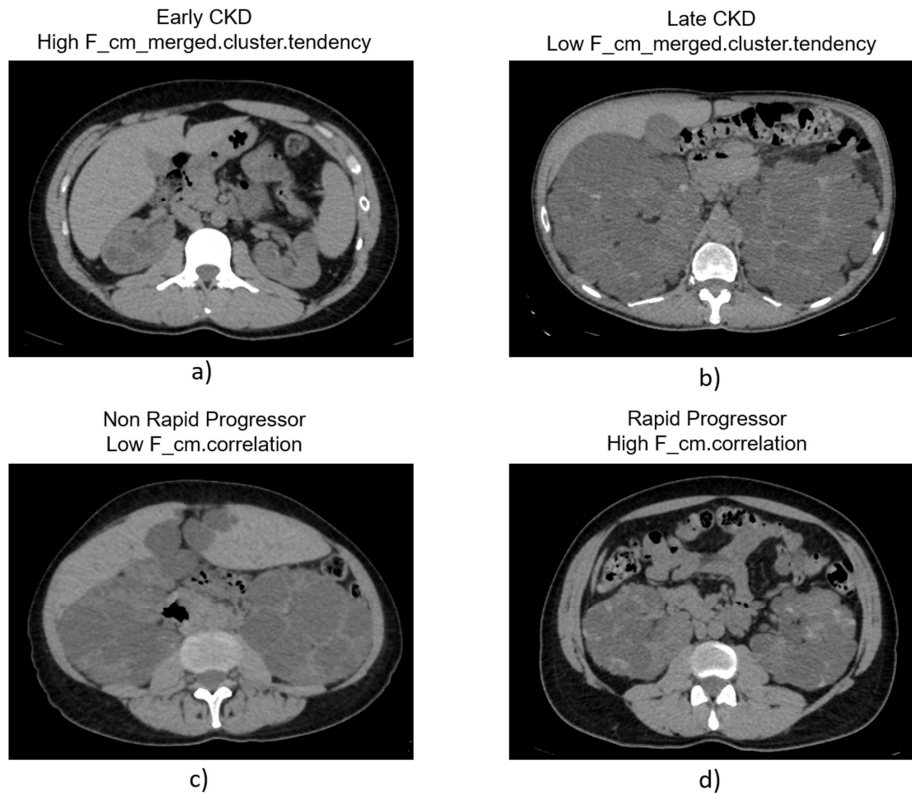
研究首先验证了影像组学对基线肾功能的预测价值。通过Wilcoxon检验筛选出84个显著特征,其中聚类趋势特征(F_cm_merged.clust.tend)表现最佳。该特征与年龄组成的模型AUC达0.91,敏感性0.82,特异性0.90,优于传统ht-TKV指标。影像显示,早期CKD患者(


疾病进展预测
在预测疾病快速进展方面,相关性特征(F_cm.corr)展现出突出价值。该特征反映肾脏实质的纹理异质性,在快速进展组显著升高(p=0.04)。基于此建立的模型AUC为0.78(95%CI 0.65-0.90),敏感性高达0.92,显著优于ht-TKV模型(AUC 0.65)。

这项研究首次证实CT影像组学可同时评估ADPKD患者的基线肾功能和预测进展风险。F_cm.corr特征所反映的肾脏微结构改变,可能对应着纤维化和炎症的病理过程。虽然研究存在样本量有限、单中心回顾性设计等局限,但其创新性地将肿瘤学领域的影像组学应用于遗传性肾病管理,为精准医疗提供了新思路。未来通过扩大样本和外部验证,该方法有望成为ADPKD患者分层和治疗决策的重要辅助工具。
生物通微信公众号
知名企业招聘