
-
生物通官微
陪你抓住生命科技
跳动的脉搏
达格列净通过调控AKT/GSK-3β与Wnt/β-catenin通路改善阿霉素诱导的化疗脑认知障碍
【字体: 大 中 小 】 时间:2025年09月06日 来源:Neurochemical Research 3.8
编辑推荐:
本研究针对阿霉素(DOX)化疗引发的认知功能障碍(化疗脑)这一临床难题,创新性探索了降糖药达格列净(DAPA)的神经保护作用。研究人员通过大鼠模型发现,DAPA能显著改善DOX导致的认知行为缺陷,其机制涉及抑制NOX4/MDA氧化应激、降低IL-1β/TNF-α/NF-κB炎症因子,并通过调控AKT/GSK-3β和Wnt/β-catenin信号通路减轻神经元凋亡。该研究为化疗脑防治提供了新的潜在治疗策略,具有重要转化价值。
癌症幸存者常面临化疗脑的困扰,表现为记忆力减退、执行功能障碍等持续性认知损害,严重影响生活质量。阿霉素(DOX)作为常用化疗药物,虽不能穿透血脑屏障,却可通过诱导全身性氧化应激和神经炎症间接损伤脑功能。目前临床缺乏有效干预手段,而降糖药达格列净(DAPA)因其抗炎、抗氧化特性在神经保护领域崭露头角。这项发表于《Neurochemical Research》的研究,首次系统揭示了DAPA对抗DOX所致化疗脑的多靶点保护机制。
研究采用40只雄性Wistar大鼠,分为对照组、DAPA单药组、DOX模型组和DOX+DAPA联合组。通过每周腹腔注射DOX(2 mg/kg)建立化疗脑模型,同时每日口服DAPA(2 mg/kg)干预。关键技术包括:1) 系列行为学测试(NORT、OFT、Y迷宫、FST)评估认知功能;2) 脑组织ELISA检测NOX4、MDA、SOD、GSH等氧化应激指标及IL-1β、TNF-α、NF-κB炎症因子;3) Western blot分析AKT、GSK-3β、Wnt、β-catenin蛋白表达;4) 海马组织病理学与免疫组化( caspase-3、NF-κB-p65)评估神经元损伤。
行为学测试结果显示,DOX组在NORT中探索新物体时间减少47.59倍,Y迷宫总行进距离下降4.82倍,FST不动时间增加10.39倍,证实化疗脑模型成功建立。DAPA干预使这些指标显著逆转,如新物体探索时间增加15.5倍,表明其改善空间记忆的作用。

分子机制研究发现,DOX使脑组织MDA升高3.15倍、SOD降低4.07倍,而DAPA恢复氧化还原平衡。同时,DAPA使促炎因子TNF-α降低3.27倍,并抑制AKT/GSK-3β和Wnt/β-catenin通路过度激活,其中β-catenin表达减少33.43%。

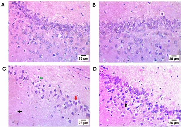
组织学证据显示,DOX导致海马CA1区锥体细胞排列紊乱、空泡化, caspase-3阳性细胞增加48.85倍。DAPA治疗组仅见少量变性神经元, caspase-3表达降至2.91倍,印证其抗凋亡效应。
该研究证实DAPA通过三重机制对抗化疗脑:1) 抗氧化:上调GSH/SOD、抑制NOX4/MDA;2) 抗炎:降低IL-1β/TNF-α/NF-κB;3) 调控AKT/GSK-3β与Wnt/β-catenin通路抑制凋亡。这不仅为理解化疗脑发病机制提供新视角,更为临床转化开辟了"老药新用"的可行路径。研究局限性在于仅使用雄性动物,未来需拓展性别差异研究。总体而言,这项工作为改善癌症患者生存质量提供了重要的实验依据。
生物通微信公众号
知名企业招聘