
-
生物通官微
陪你抓住生命科技
跳动的脉搏
罕见回盲部肠套叠源自小肠腺癌伴神经内分泌分化:病例报告与预后探讨
【字体: 大 中 小 】 时间:2025年09月20日 来源:Discover Medicine
编辑推荐:
本刊推荐:为解决成人小肠腺癌(SBA)伴神经内分泌分化(NED)的临床特征及预后问题,研究人员开展一例罕见回盲部肠套叠病例研究,通过影像学、手术及病理学分析,发现患者患有pT3 pN0 pM0期低分化腺癌伴局灶性神经内分泌分化,术后未见复发。该研究强调NED可能预示不良预后,为这类罕见病变的临床管理提供重要参考。
成人肠套叠是一种罕见的临床现象,仅占所有肠梗阻病例的1%,但其背后往往隐藏着更严重的病理问题。与儿童患者不同,成人肠套叠通常由肠道内的病理性肿块作为引导点引发,需要外科手术干预而非简单的气体复位。小肠癌虽然整体发病率较低,但近年来呈上升趋势,其中腺癌(Adenocarcinoma)是最常见的组织学亚型。然而,在小肠腺癌中出现神经内分泌分化(Neuroendocrine Differentiation, NED)的情况极为罕见,其临床意义和预后影响尚不明确。在这一背景下,来自英国圣乔治医院的研究团队报告了一例中年女性患者,因回盲部肠套叠就诊,最终病理诊断为小肠低分化腺癌伴局灶性神经内分泌分化。这一发现不仅丰富了临床对罕见病变的认识,还提出了关于这类肿瘤生物学行为和治疗策略的重要问题。该研究发表于《Discover Medicine》,为临床医生和研究人员提供了宝贵的见解。
研究人员主要通过多学科协作的方式开展了这项研究。关键方法包括:利用对比增强计算机断层扫描(CT)进行术前影像学评估;通过开腹手术进行肿瘤切除和标本采集;采用组织病理学和免疫组织化学(包括BerEP4、 chromogranin、synaptophysin和CDX2染色)进行病理诊断;以及对患者进行术后临床随访。所有数据均来自圣乔治医院的临床记录,研究遵循了伦理规范并获得了患者的知情同意。
患者为一名50多岁女性,因急性腹痛、恶心、呕吐和直肠出血就诊。腹部检查显示轻度腹胀、广泛压痛和下腹腹膜炎体征。伴有轻度心动过速,但无发热。
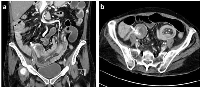
实验室检查显示C反应蛋白(CRP)轻度升高(29 mg/l),血红蛋白和白细胞计数正常。CT影像发现一长达20 cm的回盲部肠套叠,导致小肠梗阻,并识别出一个17 mm钙化肿块作为引导点。

由于肠套叠范围广泛,腹腔镜手术不可行,遂行开腹手术。术中发现小肠套入盲肠,引导点为一可触及的肿块,距回盲瓣30-45 cm。行小肠楔形切除及淋巴结 dissection,并行侧侧吻合术。

切除标本为一段长100 mm、直径40 mm的小肠,可见套叠和浆膜撕裂。肿块为15 mm钙化结节,距切缘80 mm。

肿瘤主要由低分化细胞片组成,伴局灶非典型腺体、印戒细胞和玫瑰花环 pattern。免疫组化显示BerEP4阳性,神经内分泌标志物chromogranin和synaptophysin局灶阳性,CDX2弱阳性。最终诊断为30 mm低分化腺癌伴印戒细胞和局灶神经内分泌分化(pT3 pN0 pM0)。

患者术后恢复延长,出现伤口裂开和尿路感染等并发症。术后9个月因慢性胰腺炎和肝硬化并发症再次入院,CT监测未见肿瘤复发或转移。
小肠癌罕见,占英国所有癌症的不足1%,但发病率在上升。腺癌和神经内分泌肿瘤(NETs)各占40%,其余为间质瘤和淋巴瘤。神经内分泌分化在非神经内分泌器官的癌症中已有报道,但在小肠腺癌中极罕见。本例不符合混合性神经内分泌非神经内分泌肿瘤(MiNEN)的诊断标准,因神经内分泌成分不足30%。文献中仅有个别类似病例报告,均提示NED可能预示更差预后,但长期行为和管理策略不明确。目前对小肠腺癌的治疗以手术切除为主,辅助化疗(如氟嘧啶联合铂类)和免疫治疗(用于错配修复缺陷肿瘤)的证据有限。BALLAD试验正在评估辅助化疗方案,但结果尚未公布。对于伴NED的病例,更需密切监测和个体化治疗。本研究局限性包括随访不完全和缺乏分子分析,但突出了这一罕见病变的临床重要性,为未来研究提供了基础。
生物通微信公众号
知名企业招聘