
-
生物通官微
陪你抓住生命科技
跳动的脉搏
卫星胶质细胞接触增强人iPSC来源感觉神经元分化与成熟:为周围神经病变研究提供新模型
【字体: 大 中 小 】 时间:2025年09月20日 来源:Stem Cell Reports 5.1
编辑推荐:
本研究针对iPSC来源感觉神经元(idSNs)存在的胚胎样表型问题,开发了与背根节卫星胶质细胞(rSG)共培养的新策略。研究表明物理接触(而非分泌因子)通过SEMA6A-PLEXINA4信号通路驱动假单极形态形成,并显著增强神经元电生理活性和紫杉醇诱导的轴突变性敏感性。该工作发表于《Stem Cell Reports》,为人类周围神经病变研究提供了更成熟的体外模型。
在神经科学领域,人类诱导多能干细胞(iPSC)技术为疾病建模带来了革命性突破,特别是在周围神经系统研究方面。科学家们能够将iPSC分化为感觉神经元(idSNs),用于模拟各种周围神经病变。然而,现有的分化方案存在一个显著局限——产生的神经元表现出胚胎样表型,缺乏成熟神经元的特征形态和功能。这种感觉神经元在体内发育过程中会经历从双极到假单极形态的转变,这种形态变化对于正常神经功能至关重要,但现有培养体系无法重现这一过程。
问题的关键在于发育过程中的细胞间相互作用。在活体环境中,背根神经节(DRG)中的感觉神经元早期就与卫星胶质细胞(SG)建立密切联系,这种相互作用对假单极形态的形成至关重要。然而,传统的idSNs分化方案缺乏这种胶质细胞的参与,导致产生的神经元停滞在未成熟状态。这种不成熟性严重限制了idSNs在疾病建模中的应用,特别是对于研究成人期发病的周围神经病变。
为了突破这一局限,研究人员开展了一项创新性研究,探索将idSNs与卫星胶质细胞共培养是否能促进其成熟。这项研究发表在《Stem Cell Reports》期刊上,研究团队来自Dana-Farber癌症研究所、哈佛医学院、波士顿儿童医院以及美国国立卫生研究院等多个知名机构。
研究人员采用的主要技术方法包括:使用人iPSC来源神经嵴前体细胞(idNCPs)进行感觉神经元分化;与胚胎期大鼠背根神经节(rDRG)胶质细胞共培养系统;多电极阵列(MEA)电生理记录技术;RNA测序和生物信息学分析;免疫荧光染色和形态学定量分析;SEMA6A基因敲降实验;紫杉醇诱导的神经病变模型。

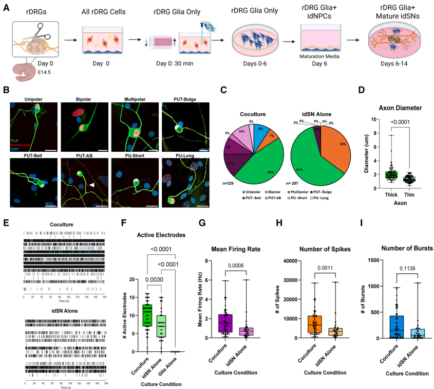
Human idSNs differentiated in coculture with embryonic rat DRG glia exhibit advanced morphology
研究发现,与rDRG胶质细胞共培养的idSNs表现出显著的形态学成熟。通过系统性的形态学分类和定量分析,研究人员发现共培养组中处于假单极过渡期(PUT)和完全假单极形态(PU)的神经元比例显著增加,而未成熟(单极/双极)和多极形态的细胞相应减少。特别值得注意的是,这些假单极idSNs虽然表现出轴突直径差异(类似体内外周与中枢轴突的特征),但并未完全重现典型的轴突分子标志物分布模式。
Human idSNs cocultured with embryonic rat DRG glia exhibit enhanced activity
电生理分析揭示了共培养idSNs的功能成熟。多电极阵列记录显示,共培养的神经元在培养第三周就开始表现出自发电活动,且平均放电频率显著高于单独培养的idSNs。这种电活动特征与初级DRG神经元的报道相似,表明共培养促进了神经元的生理功能成熟。
Coculture with glial cells enhances neuronal maturation
转录组分析进一步证实了共培养的成熟效应。RNA测序结果显示,共培养的idSNs中有476个基因表达上调,748个基因下调。基因本体分析表明,与神经元分化、轴突发生和突触结构相关的基因程序显著上调,而与早期神经嵴发育和胶质生成相关的程序下调。特别是与疼痛信号相关的SCN10a(编码Nav1.8钠通道)和调节神经元兴奋性的钾离子通道基因表达发生变化,这可能是电生理活性增强的分子基础。
Neuronal maturation media enriches cultured rat DRG cells for satellite glia
研究人员通过转录组分析和免疫染色确定了共培养系统中的关键细胞成分。神经元成熟培养基(NMM)处理富集了卫星胶质细胞特征基因的表达,包括DDIT4、INSIG1、HMGCS1和SCD等特异性标志物。同时,巨噬细胞和相关免疫功能的基因表达下降,表明培养条件选择了特定的胶质细胞群体。
Rat DRG satellite glia advance maturation of idSNs
免疫细胞化学研究证实,培养体系中的胶质细胞主要是S100b+的卫星胶质细胞,缺乏髓鞘形成相关的MBP表达。重要的是,所有向假单极形态过渡的idSNs都与p75+的卫星胶质细胞建立接触,且接触数量与神经元成熟度正相关。共聚焦显微镜三维重建显示,卫星胶质细胞的过程与假单极神经元的胞体和轴突干形成紧密接触,重现了体内的相互作用模式。
rSG-secreted factors do not induce pseudounipolar morphology in idSNs
通过transwell共培养和条件培养基实验,研究人员排除了可溶性因子在形态成熟中的主导作用。无论是非接触式共培养还是条件培养基处理,都不能诱导假单极形态的形成,表明物理接触是必需的。
Physical contact between rSG and idSNs promotes pseudounipolarization
使用甲醇固定的胶质细胞进行共培养的实验进一步证实了接触的重要性。虽然固定细胞仍能部分促进形态成熟,但效果明显弱于活细胞,表明除了表面接触外,活细胞的动态相互作用和下游信号传导也参与这一过程。
Semaphorin-plexin signaling plays a role in pseudounipolarization of idSNs
机制研究表明,SEMA6A-PLEXINA4信号通路在假单极形成中发挥重要作用。SEMA6A在卫星胶质细胞中表达,而其受体PLEXINA4在idSNs中高表达。通过shRNA敲降SEMA6A表达,显著减少了假单极形态的形成,表明这一配体-受体对在形态成熟中起关键作用。

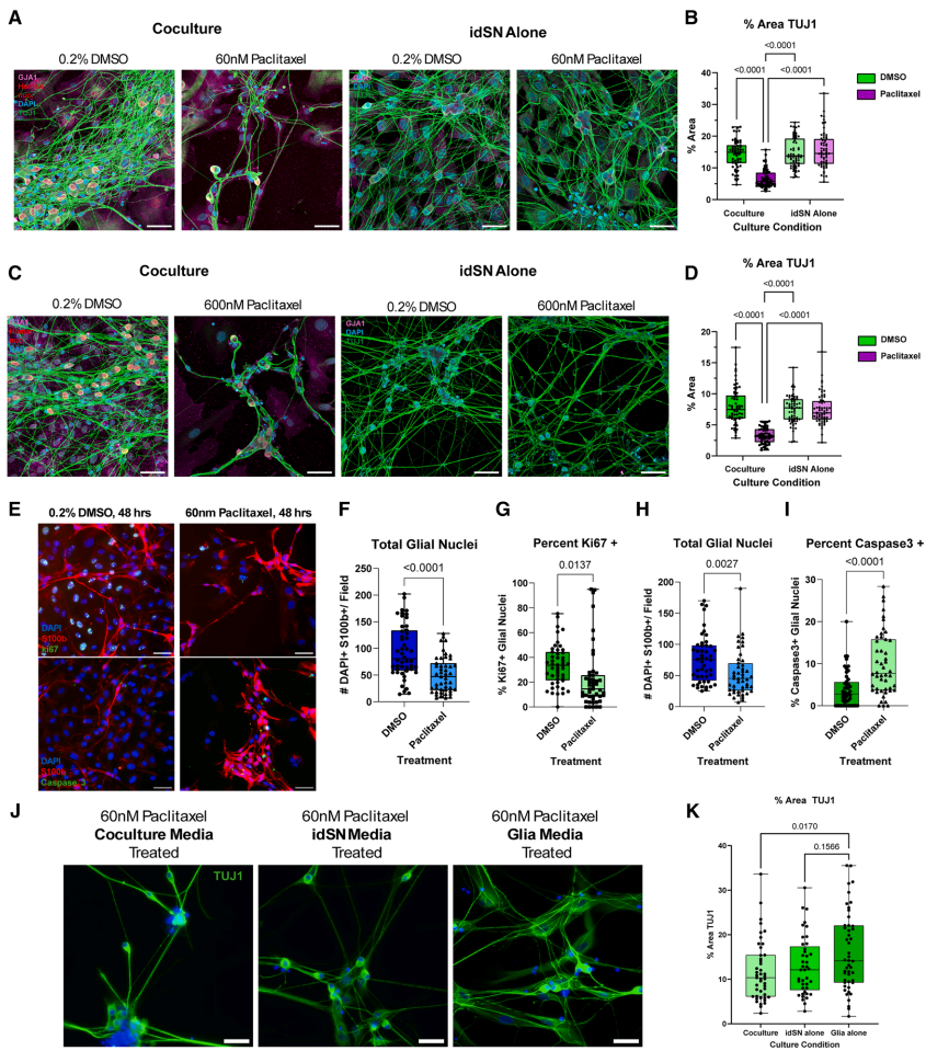
Cocultured idSNs are more susceptible to paclitaxel-mediated neurodegeneration
功能验证实验表明,共培养的idSNs对紫杉醇诱导的轴突变性更加敏感,这为化疗诱导的周围神经病变(CIPN)研究提供了更好的模型。紫杉醇处理不仅影响神经元,还引起卫星胶质细胞的形态改变、增殖减少和凋亡增加,表明胶质细胞在神经病变中也发挥重要作用。
这项研究的意义在于首次建立了能够产生成熟假单极形态人感觉神经元的可靠方案,解决了该领域长期存在的技术瓶颈。通过揭示卫星胶质细胞-感觉神经元相互作用的分子机制,特别是SEMA6A-PLEXINA4信号通路的作用,为理解周围神经系统发育提供了新见解。更重要的是,这种共培养系统为研究各种周围神经病变(如化疗引起的神经病变、糖尿病周围神经病变和遗传性神经病变)提供了更生理相关的模型,有望推动相关治疗策略的开发。
研究的局限性主要在于使用了大鼠来源的胶质细胞,目前尚无可用的
生物通微信公众号
知名企业招聘