
-
生物通官微
陪你抓住生命科技
跳动的脉搏
下颌下区非典型颈部异位胸腺病例报告:超声诊断的关键价值与临床意义
【字体: 大 中 小 】 时间:2025年09月21日 来源:Journal of Ultrasound 1.4
编辑推荐:
本刊推荐:研究人员针对婴幼儿颈部包块的鉴别诊断难题,开展了异位胸腺的影像学特征研究。通过超声与MRI的对比分析,证实超声特征性"星空征"(Starry Sky Appearance)对异位胸腺的诊断价值,避免了不必要的侵入性检查。该研究为儿童颈部肿块的无创诊断提供了重要依据,对减少手术干预具有临床意义。
在婴幼儿颈部肿块鉴别诊断的迷宫中,医生们常常面临着一个棘手的难题:如何在不给患儿带来不必要的创伤和风险的前提下,准确区分良性病变和恶性肿瘤?特别是在面对那些位置罕见、表现不典型的肿块时,传统的诊断方法往往显得力不从心。这其中,异位胸腺作为一种罕见但重要的鉴别诊断,由于其临床表现缺乏特异性,极易被误诊为淋巴结病变、鳃裂囊肿、甲状舌管残留或软组织肿瘤,从而导致不必要的手术干预和潜在的并发症风险。
胸腺作为人体重要的初级淋巴器官,在胚胎发育第5-6周时起源于第三咽囊,正常情况下应在第8-9周时向尾侧和内侧迁移至前上纵隔的最终位置。而异位胸腺正是这一迁移过程发生异常的结果,可能出现在从下颌角到上胸部的任何位置,尤其常见于颈动脉或气管旁区域。据统计,颈部异位胸腺的患病率约为1/2000,通常多在2-13岁儿童中被诊断,新生儿期的病例报道极为罕见。
正是在这样的临床背景下,Emma Liaci等研究人员在《Journal of Ultrasound》上发表了一项引人注目的病例研究,报道了一个罕见的3月大男婴下颌下区异位胸腺病例。这个病例的特殊之处在于其发生部位异常——位于下颌下间隙,而非常见的颈动脉或气管旁区域,这增加了诊断的难度和复杂性。
研究人员通过这个病例,深入探讨了超声检查在鉴别诊断中的关键作用。患儿因左侧颈部无痛性肿胀就诊,体格检查发现一个质硬、无压痛、无搏动、可移动的肿块,表面皮肤无改变。超声检查显示一个边界清晰的实性肿块,直径约3厘米,具有内部血管分布,紧邻左侧腮腺。


令人惊讶的是,超声图像显示出了一个特征性的"星空征"(Starry Sky Appearance)——这是一个由线性回声焦点形成的特殊模式,被认为是胸腺组织的特征性表现。多普勒超声进一步证实了肿块内的血流信号。
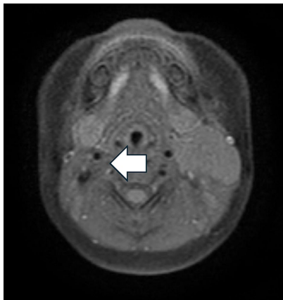
为了进一步评估,研究人员在深度镇静下为患儿进行了颈部磁共振成像(MRI)增强检查。MRI显示一个3×2.5×2厘米的肿块,在T1加权图像上呈等信号,在T2加权图像上呈稍高信号。

脂肪抑制序列没有信号抑制,DWI/ADC序列显示明显的信号限制。


注射对比剂后,可见一些供应病变的血管,但没有明显的对比增强。

病变位于左腮腺前方,两者之间有可识别的分界平面。病变向内侧延伸,抵着C4-C5水平的颈部神经血管束,但没有明显压迫;向外侧抵着胸锁乳突肌。
基于这些影像学表现,特别是弥散加权成像(DWI)上的限制扩散,肿块被怀疑为神经母细胞瘤,因此进行了实验室检查和手术活检。血清神经元特异性烯醇化酶(NSE)和甲胎蛋白(AFP)水平均在正常范围内,尿儿茶酚胺代谢产物包括高香草酸(HVA)和香草扁桃酸(VMA)也在参考范围内,组织病理学分析揭示了胸腺组织。这个病例的最终诊断被确认为实性颈部异位胸腺。
本研究采用的主要技术方法包括:高频超声检查与多普勒血流成像用于初步评估肿块特征;磁共振成像(MRI)包括T1加权、T2加权、脂肪抑制序列和弥散加权成像(DWI)用于进一步表征肿块性质;实验室血清学检查包括神经元特异性烯醇化酶(NSE)和甲胎蛋白(AFP)测定;尿液生物标志物检测包括儿茶酚胺代谢产物分析;以及最终的手术活检和组织病理学确诊。
病例 presentation
通过超声检查发现左侧下颌下区有一个边界清晰的实性肿块,具有特征性的"星空征"模式和内部血流信号。MRI检查显示肿块在T1加权像上呈等信号,T2加权像上呈稍高信号,无脂肪抑制,DWI上显示限制扩散,增强后仅有血管显示而无明显强化。基于这些发现,特别是DWI上的限制扩散,怀疑为神经母细胞瘤,但实验室检查包括血清NSE、AFP和尿儿茶酚胺代谢产物均在正常范围内。
讨论
颈部异位胸腺组织很罕见,估计患病率为1/2000儿童,通常诊断于2-13岁年龄段。新生儿期诊断的异位颈部胸腺报道更为罕见,文献中仅记载了少数新生儿病例。由于其罕见性,通常在初步鉴别诊断中不被考虑,诊断多在手术切除和组织病理学分析后做出。本病例中,超声被证明是最具信息量的影像学 modality,展示了一个边界清晰的低回声肿块,内部有线性回声斑点和血管流动,这种称为"星空外观"的模式可能是胸腺组织的特征。相反,MRI结果不太特异且可能产生误导。肿块在T1加权图像上呈等信号,在T2加权图像上呈高信号。它在脂肪饱和序列上没有脂肪抑制,在DWI/ADC上有受限扩散。这些特征,特别是受限扩散,可以模仿恶性病变,如神经母细胞瘤或淋巴瘤。
还应考虑到超声检查快速、耐受性好且易于执行,而MRI检查可及性较差,且在此年龄通常需要深度镇静。在本病例中,诊断方法涉及颈部肿块的手术活检,但需要注意的是,在选定的病例中,由经验丰富的病理学家、放射科医生或耳鼻喉科医生执行的细针穿刺(FNA)可能在颈部肿块的诊断评估中提供显著优势。FNA是一种相对 inexpensive、微创、快速且安全的 procedure,特别是在婴儿中,可能降低如气胸、血肿形成、迷走神经或舌下神经损伤或感染等并发症的风险。缺乏组织结构背景可能使与未成熟T细胞淋巴瘤的区别变得困难,但缺乏明显恶性特征 combined with 未成熟T细胞表型支持异位胸腺组织的诊断。因此,了解细胞病理学特征并结合超声特征,有助于做出明确诊断。
结论
本病例突出了异位胸腺组织带来的诊断挑战以及超声的重要性,超声可以提供比MRI更令人安心的特征,而MRI特征可能被错误地解释为提示肿瘤。当影像学检查不确定或可疑时,组织病理学确认仍然至关重要。然而,对异位胸腺组织超声 appearance 的认识,结合对细胞病理学特征的认识,有助于避免不必要的 advanced 影像学检查、侵入性 procedures 和父母的焦虑。
这项研究的重要意义在于它强调了超声在儿童颈部肿块诊断中的核心地位,特别是对于异位胸腺这种罕见病变的识别。研究人员通过这个特殊病例证明,特征性的超声表现如"星空征"可以提供关键的诊断线索,甚至在某种程度上比更昂贵的MRI检查更具诊断价值。这一发现对临床实践具有重要指导意义——在面对儿童颈部肿块时,医生应该首先考虑进行超声检查,并熟悉异位胸腺的特征性表现,从而避免不必要的进一步检查和手术干预。
更重要的是,这项研究提出了一个值得深思的问题:在医疗技术日益发达的今天,我们是否有时过于依赖高端、昂贵的检查手段,而忽略了基础、简便但有效的诊断工具?这个病例提醒我们,在某些情况下,传统的超声检查可能比先进的MRI更能提供准确的诊断信息,特别是在儿童患者中,这种无创、快速、无需镇静的检查方法具有不可替代的优势。
此外,研究人员还提出了细针穿刺(FNA)在这种诊断困境中的潜在价值。作为一种相对微创的诊断方法,FNA可能在避免全麻手术的同时提供足够的诊断信息,特别是当与特征性的超声表现相结合时。这为未来类似病例的诊断路径提供了新的思路和方向。
总之,这项研究不仅报道了一个罕见的下颌下区异位胸腺病例,更重要的是它重新确立了超声在儿童颈部肿块诊断中的关键地位,为临床医生提供了宝贵的诊断见解,最终有助于减少不必要的手术干预和相关的并发症风险,提高患儿的诊疗质量和安全性。
生物通微信公众号
知名企业招聘