
-
生物通官微
陪你抓住生命科技
跳动的脉搏
外耳炎的罕见病因
《HNO》:Seltene ?tiologie der Otitis externa
【字体: 大 中 小 】 时间:2026年02月19日 来源:HNO 1.3
编辑推荐:
患者因顽固性左耳外耳道肿胀及听力下降就诊,经抗生素治疗无效后行乳突切除术,病理未明确。后续CT及MRI提示可能颅骨感染,经第二次乳突切除术及外耳道活检确诊为急性髓系白血病(AML)复发并表现为骨髓增生异常综合征(MS)。治疗予化疗联合造血干细胞移植,最终获完全缓解。该病例强调血液肿瘤患者局部症状需警惕髓系肿瘤转移可能,及时病理活检对诊断关键作用。
一名45岁男性患者出现外耳道明显肿胀和外耳炎症状,保守治疗无效。由于伴有乳突炎,随后进行了乳突切除术,但组织学检查结果未能明确诊断。在症状未见改善的情况下,对外耳道进行了活检,并对乳突进行了再次手术及病理分析。最终确诊为髓系肉瘤,属于之前缓解的急性髓系白血病(AML)的复发。
一名45岁的患者表现为外耳道严重肿胀和外耳炎症状,保守治疗无效。随后发展为乳突炎,进行了乳突切除术,但病理检查未发现明确病因。在症状持续未见好转的情况下,通过外耳道活检和乳突再次手术以及多次病理检查,最终诊断为髓系肉瘤,这是先前缓解的急性髓系白血病(AML)的复发。
该患者多次因外耳炎就诊。主诉耳痛、体温升高以及左耳听力下降,但无耳鸣、耳漏或眩晕等症状。一年前被诊断为急性髓系白血病(AML),经过诱导化疗和巩固治疗后病情完全缓解,无其他基础疾病。
左侧外耳道明显肿胀和发红,鼓膜外观正常。涂片检查未发现细菌或真菌感染。听力测试显示混合性听力损失,传导性听力损失达40分贝。为排除恶性外耳炎的可能,检测了HbA1c值,结果正常;白细胞计数正常,C-反应蛋白(CRP)轻度升高。进一步血液检查确认急性髓系白血病处于缓解期。由于抗生素滴耳液和哌拉西林/他唑巴坦静脉注射治疗无效,进行了CT扫描,提示可能存在乳突炎并伴颅内渗漏。MRI检查显示乳突骨质增厚,但无颅内脓肿。
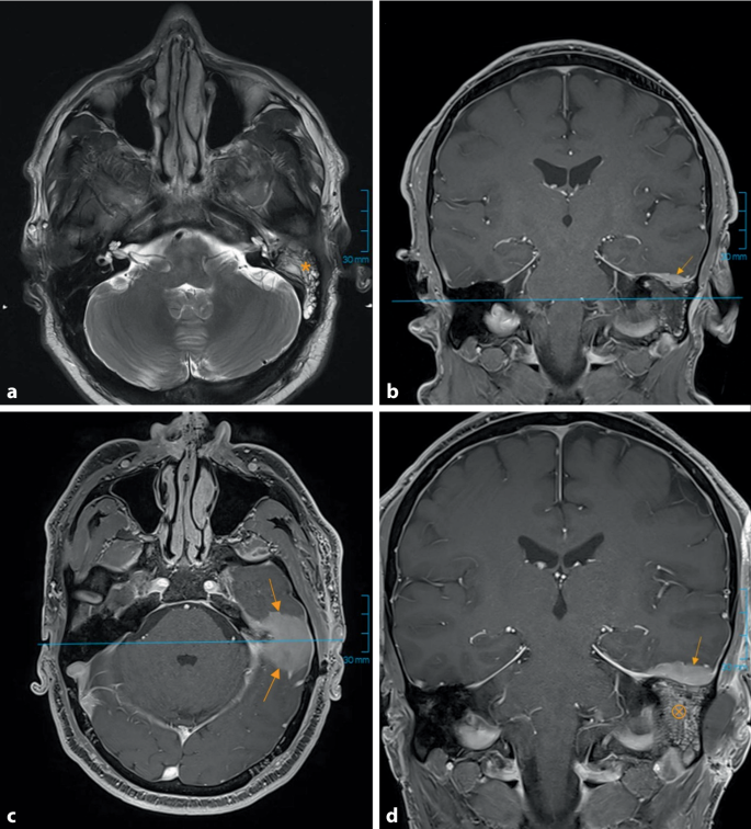
首次乳突切除术(a)和再次乳突切除术(c、d)前的头部MRI图像。初始T2序列(a)显示乳突腔内积液,边缘可见对比剂吸收;T1-VIBE序列(b)显示左侧乳突骨质增厚(箭头),考虑为局部脑膜炎。后续图像(d)显示乳突腔内软组织肿胀,骨膜层模糊,提示可能为脑膜炎症。
为处理乳突病变进行了乳突切除术。术中取样的组织主要为坏死组织,病理检查无显著发现。MRI随访显示颞叶开始出现水肿。怀疑亚急性乳突炎伴脑膜受累,给予哌拉西林/他唑巴坦抗生素治疗。出院时建议患者持续使用抗菌滴耳液。后续复查时肿胀持续加重,再次取样检查。在获得病理结果前,患者因疼痛加剧再次住院。实验室检查和血液培养未见异常。根据MRI提示可能存在脑脓肿,按诊疗指南给予美罗培南/万古霉素静脉注射治疗。随后进行再次乳突切除术以获取更多组织样本。术中发现乳突内有肿瘤样组织并向颞侧扩散(图2)。最终病理检查确诊为髓系肉瘤,为先前缓解的AML的髓外复发。
根据国际共识分类标准,若骨髓中 blasts细胞比例≥20%,可诊断为AML [2]。当髓外存在 blasts细胞时,AML也可能表现为 chlorom 或髓系肉瘤 [9]。髓系肉瘤(MS)是一种由髓系 blasts 组成的实体性肿瘤,可单独出现或伴骨髓受累 [7]。它常作为AML 的首发表现或复发形式出现 [1],其中4–14% 的病例发生在头颈部 [8]。头颈部肿瘤多见于不同部位和组织,如口腔 [1]、鼻窦 [5] 和颞骨 [6]。典型症状包括耳痛和听力障碍。少数病例可能出现面神经麻痹 [6]。由于MS 的临床异质性和罕见性,诊断和治疗方法有限,主要依赖病理学依据。病理学表现为未成熟细胞浸润伴组织结构紊乱。免疫组化检测可见CD45、CD33和髓过氧化物酶(MPO)等标志物 [1, 8]。许多病例存在异常抗原表达,如B细胞标志物CD19或T细胞标志物CD4/CD7 [4],导致误诊率高达47% [3]。尤其在骨髓受累早期(通常在5–12个月内),诊断可能延迟。治疗多参照AML治疗方案 [4